Есть вопросы?   +86-18112515727   song@orthopedic-china.com
Вы здесь: Дом » Новости

Новости и события

  • Артроскопическое лечение задней нестабильности плечевого сустава
    Артроскопическое лечение задней нестабильности плечевого сустава
    2022-12-26
    Задняя нестабильность плеча обычно вызывается травматическим задним вывихом или повторяющимся малоинвазивным повреждением во время физических упражнений или другой деятельности, с годовой частотой заболеваемости 4,64 случая на 100 000 человек в год.Несколько хирургических техник лечения заднего отдела плечевого сустава
    Читать Далее
  • Вы это знаете?Факторы риска и лечение нестабильности пателлофеморального сустава у детей
    Вы это знаете?Факторы риска и лечение нестабильности пателлофеморального сустава у детей
    2022-12-22
    Пателлофеморальная нестабильность (ПФИ) часто встречается при травмах коленного сустава у детей.ПФИ обусловлен дисбалансом динамических взаимоотношений надколенника в бедренно-блоковой борозде.Наружный вывих надколенника является крайней формой ПФИ, вызванной повреждением медиального стабилизатора, в результате чего надколенник ударяется о латеральный мыщелок бедра.
    Читать Далее
  • Закрытая репозиция при переломах нижних конечностей.
    Закрытая репозиция при переломах нижних конечностей.
    2022-12-08
    Закрытая репозиция является минимально инвазивной техникой, которую можно использовать при стабильных переломах конечностей без потери кровотока, риска инфицирования, быстрого функционального восстановления, значительного снижения медицинских затрат, а также для закрытой репозиции полым гвоздем и интрамедуллярной фиксацией штифтом. лечение различных нестабильных переломов, таких как переломы шейки бедра, переломы ножки бедра, переломы большеберцовой кости, переломы ножки плечевой кости и др., устранение нарушения кровотока путем инцизионной редукции.
    Читать Далее
  • Всестороннее знание плюсов и минусов лечения переломов шейки бедренной кости фиксацией полыми винтами
    Всестороннее знание плюсов и минусов лечения переломов шейки бедренной кости фиксацией полыми винтами
    2022-12-05
    Перелом шейки бедренной кости является одной из наиболее часто встречающихся в клинической практике ортопедических травм, при этом у большинства пожилых пациентов на долю переломов бедра приходится более 50%.Согласно статистике, частота переломов шейки бедра в последние годы постепенно увеличивается, при этом
    Читать Далее
  • Положение протеза: к каким последствиям приведет выступ протеза UKA?
    Положение протеза: к каким последствиям приведет выступ протеза UKA?
    2022-11-07
    Однокомпартментное эндопротезирование коленного сустава (UKA) является хирургической альтернативой тотальному эндопротезированию коленного сустава (TKA) для лечения однокомпонентного остеоартрита.Однако данные о частоте неудач УКА показывают 7-летнюю выживаемость 74%, что значительно ниже, чем у ТКА (92%).Хотя собственные факторы пациентов увеличивают риск неудачи, например, более молодые пациенты и более высокий индекс массы тела (ИМТ), могут увеличить риск неудачи УАК, хирургические технические ошибки считаются важными факторами риска ранней неудачи.В UKA сложно добиться оптимального выравнивания протеза и выступа (выступа).Протез большеберцовой кости должен быть подобран по размеру и имплантирован таким образом, чтобы свести к минимуму раздражение мягких тканей, а медиальный выступ большеберцовой кости более чем на 3 мм является значительным фактором риска снижения шкалы Oxford Knee Score (OKS) и усиления боли.Основная цель этого исследования состояла в том, чтобы оценить общие клинические и визуализационные результаты UKA.
    Читать Далее
  • Перелом большеберцовой кости, техника супрапателлярного интрамедуллярного остеосинтеза
    Перелом большеберцовой кости, техника супрапателлярного интрамедуллярного остеосинтеза
    2022-10-21
    Интрамедуллярное крепление большеберцовой кости: доступ и выравнивание, боль в передней части колена
    Читать Далее
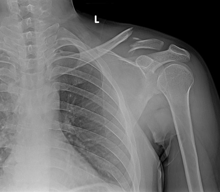
  • Перелом ключицы
    Перелом ключицы
    2022-10-21
    Переломы ключицы являются одними из самых частых переломов, на их долю приходится 3% всех переломов.Исторически его лечили консервативно, но результаты не всегда были положительными.Неоперативное лечение может привести к таким осложнениям, как боль, неправильное сращение и синдром грудной апертуры.Благодаря усовершенствованию методов хирургической фиксации многие хирурги решили использовать хирургическую фиксацию для лечения переломов ключицы со смещением.
    Читать Далее
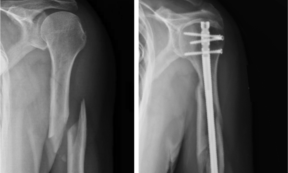
  • Хирургическое лечение переломов плечевой кости и технических точек
    Хирургическое лечение переломов плечевой кости и технических точек
    2022-10-14
    Переломы ножки плечевой кости (HSF) относительно распространены, на их долю приходится от 1% до 5% всех переломов.Ежегодная заболеваемость составляет от 13 до 20 на 100 000 человек, и было обнаружено, что она увеличивается с возрастом. HSF имеет бимодальное возрастное распределение, при этом первый пик приходится на мужчин в возрасте от 21 до 30 лет.
    Читать Далее
  • Хирургия позвоночника
    Хирургия позвоночника
    2022-10-14
    Changzhou Meditech Technology Co., Ltd., расположенная в научно-образовательном городке Чанчжоу, провинция Цзянсу, специализируется на производстве ортопедических имплантатов и инструментов. най
    Читать Далее
  • 5 самых горячих проблем перелома шейки бедра, с которыми сталкиваются ваши коллеги!
    5 самых горячих проблем перелома шейки бедра, с которыми сталкиваются ваши коллеги!
    2022-09-28
    Выбор внутренней фиксации по сравнению с заменой сустава В настоящее время считается, что внутренняя фиксация полым стержнем при переломе шейки бедра имеет преимущества короткого времени операции, небольшой травмы и низкой стоимости, но у большинства пожилых пациентов наблюдается остеопороз, поэтому стабильность
    Читать Далее

Проконсультируйтесь со своим ортопедическим экспертом CZMEDITECH

Мы помогаем вам избежать ловушек, чтобы обеспечить качество и ценность ваших ортопедических потребностей, вовремя и в рамках бюджета.
Чанчжоу Meditech Technology Co., Ltd.

Услуга

Запрос сейчас
© АВТОРСКОЕ ПРАВО 2023 ЧАНЧЖОУ MEDITECH TECHNOLOGY CO., LTD.ВСЕ ПРАВА ЗАЩИЩЕНЫ.