Просмотры:0 Автор:Pедактор сайта Время публикации: 2023-01-04 Происхождение:Работает
Переломы обычно сопровождаются травмами других частей тела.Во всем процессе лечения пациентов необходимо лечить как единое целое.
Спасать жизни
Сохранить конечности
Сохранить суставы
Функция реконструкции
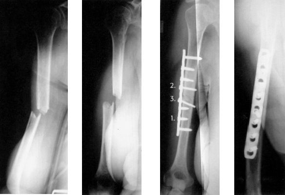
Открытая репозиция и внутренняя фиксация как можно раньше (в течение 6 часов)
48ч
3 ~ 7d: Это увеличит возникновение ОРДС и других осложнений.
7 ~ 10 дней: эндокринная реакция уменьшилась [отек спал, воспаление исчезло]
Более 2 недель: увеличивается сложность операции и снижается послеоперационная функция.
Когда блок перелома повреждает подключичную артерию, вену и плечевое сплетение, считается, что это серьезное осложнение и его следует оперировать немедленно.
При эластическом возврате происходит после мануального вправления сухожилия длинной двуглавой мышцы, когда появляются симптомы поражения подмышечного нерва.

Как только при медицинском осмотре будут обнаружены симптомы повреждения лучевого нерва, операция будет выполнена немедленно.

Этот вид перелома может вызвать повреждение любого нерва или кровеносного сосуда, проходящего через локтевой сустав.
Разрыв кровеносных сосудов встречается редко, но может быть растяжение или сдавление.
Синдром фасциального пространства - немедленный разрез и декомпрессия.
Завершите операцию в течение недели.
1 ~ 2 недели операции запретное время оссифицирующий миозит.
Операция через 2 недели.
Либо открытый перелом следует оперировать в течение 6-8 часов после травмы.
Отсроченная операция может увеличить риск образования костного моста между локтевой и лучевой костями.

Когда физикальное обследование показало, что повреждение сухожилия длинного разгибателя большого пальца и симптомы компрессии срединного нерва появились-немедленная операция.

Особое внимание уделяется ранней репозиции и внутренней фиксации как при открытых, так и при закрытых переломах, особенно при осложненных повреждениях сосудов, нервов или сухожилий, операция должна быть выполнена немедленно.
Переломы таза часто сочетаются с переломами других отделов, что приводит к гемодинамической нестабильности.
Режим лечения сложного перелома таза: 30 мин, 3 решения
Немедленное хирургическое исследование для остановки кровотечения
Фиксация таза (С-образные щипцы или внешний фиксатор) завершается через 10-15 мин.
После наблюдения в течение 10~15 мин у больного сохраняется гемодинамическая нестабильность-операция.
Больным со стабильной гемодинамикой операцию следует проводить в течение 7 дней, или 7~14 дней.


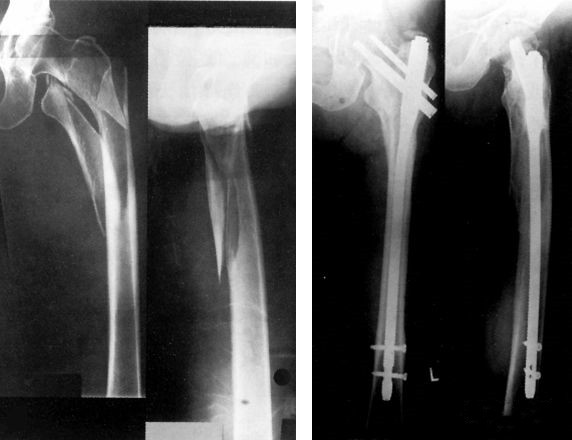
Как только общее состояние пациента находится под контролем, следует выполнить внутреннюю фиксацию, DHS, DCS и PFN.

Перелом шейки бедренной кости, особенно интракапсулярный, может привести к нарушению кровоснабжения головки бедренной кости, поэтому необходимо как можно скорее провести открытую репозицию и внутреннюю фиксацию.
Внутренняя фиксация: < 65 лет
Замена сустава: > 65 лет
Если экстренная операция невозможна, можно выполнить пункцию сустава и аспирацию внутрисуставной гематомы, тазобедренный сустав оставить в полусогнутом и наружном вращении.
Пациентам с тяжелыми повреждениями мягких тканей, открытыми переломами или трудностями в начале операции - надсуставной аппарат внешней фиксации.
Неотложная хирургическая обработка изолированного повреждения — ДКС, ретроградный интрамедуллярный стержень.

Общее состояние больного стабильное, если позволяют местные кожные покровы, операцию следует проводить немедленно.
Определить характер травмы насилием
Высокоэнергетическая травма часто сопровождается тяжелым повреждением мягких тканей.Он характеризуется отеком конечностей, образованием волдырей, ссадин и разрывов кожи.Операцию следует отложить на это время.При этом необходимо исключить синдром фасциального пространства и повреждения сосудов и нервов.

Особенность анатомии – важность покрытия мягкими тканями.
Ранняя стадия: в течение 8 часов
Внешний фиксатор считается первым выбором для раннего лечения.
Гипсовая опора
Вытяжение пяточной кости
Фаза II: около 2 недель.
Явной системной инфекции и острой травмы не было.
Отечности и экссудации раны нет.
Волдырь подсох, опухоль спадает, костные маркеры можно трогать.
Морщинистая кожа, появляются морщины.


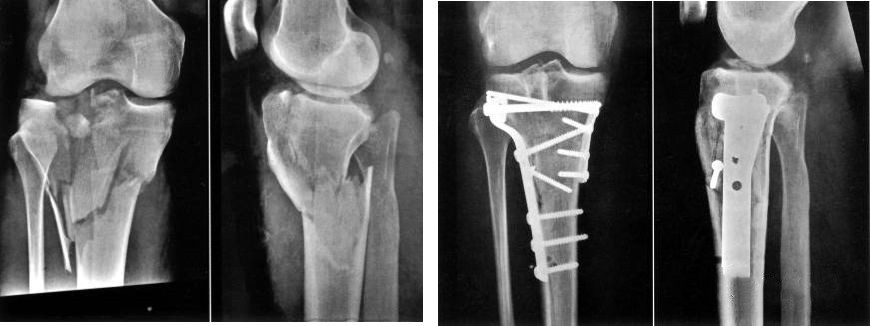
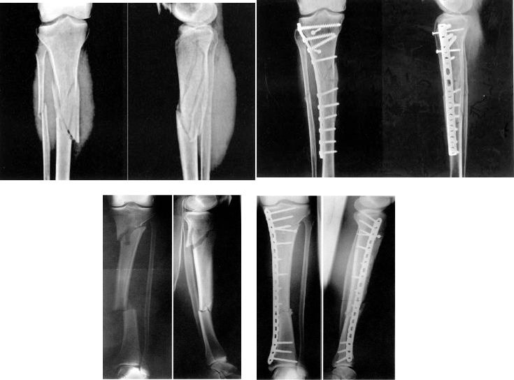
Результат лечения перелома пилона зависит от качества реконструкции сустава и состояния мягких тканей.
Лучшее время для операции зависит от состояния мягких тканей:
Ранняя стадия: операция выполнялась в течение 6-8 часов, длилась 2-3 часа.
Задержка: 7 ~ 10 дней, исчезли отеки и появились морщины на коже.
Четыре традиционных принципа, которых необходимо придерживаться при одноэтапной хирургической реконструкции:
Реконструкция малоберцовой кости
Реконструкция большеберцовой суставной поверхности
Костная пластика
Поддержка костной пластины

Перелом лодыжки внутрисуставной.
Целью лечения является восстановление нормального анатомического строения суставов.
Сроки операции зависят от состояния мягких тканей.
Идеальное время для операции – до появления отека и волдырей в области перелома.
Это опора для людей, чтобы стоять и ходить.Восстановление нормальной анатомической структуры стопы играет жизненно важную роль в процессе стояния и ходьбы.
Как и при переломах лодыжки, сроки операции зависят от степени и состояния отека мягких тканей.
Если все тело стабильно, перелом со смещением следует оперировать немедленно при наличии неврологической симптоматики.


Для ЧМЕДИТЕХ, у нас есть очень полная линейка имплантатов для ортопедической хирургии и соответствующих инструментов, включая продукты имплантаты позвоночника, интрамедуллярные гвозди, травматическая пластина, Стопорная шайба, черепно-челюстно-лицевой, протез, электроинструменты, внешние фиксаторы, артроскопия, ветеринарная помощь и сопутствующие им наборы инструментов.
Кроме того, мы стремимся постоянно разрабатывать новые продукты и расширять линейки продуктов, чтобы удовлетворить хирургические потребности большего числа врачей и пациентов, а также сделать нашу компанию более конкурентоспособной на мировом рынке ортопедических имплантатов и инструментов.
Мы экспортируем по всему миру, поэтому вы можете связаться с нами по адресу электронной почты song@orthopedic-china.com, чтобы получить бесплатное предложение, или отправьте сообщение в WhatsApp, чтобы получить быстрый ответ +86-18112515727.
Если хотите узнать больше информации, нажмите ЧМЕДИТЕХ чтобы найти более подробную информацию.
Дистальный голени: прорыв в лечении переломов дистального большеберцовой кости
Производители TOP9 в Америке: тарелки для блокировки дистальной плечевой кости (май 2025 г.)
Производители TOP8 в Океании: тарелки с дистальной плечевой кости (май 2025 г.)
Производители TOP10 в Азии: тарелки для блокировки дистальной плечевой кости (май 2025 г.)
Производители TOP7 в Африке: тарелки для блокировки дистальной плечевой кости (май 2025 г.)
Производители TOP6 в Европе: тарелки для блокировки дистальной плечевой кости (май 2025 г.)
Фиксирующая пластина локтевого отростка: восстановление стабильности и функции локтя
Фиксирующая пластина ключицы: повышение стабильности и заживления
Ортопедическая пластина из нержавеющей стали: улучшение заживления и стабильности костей