Просмотры:16 Автор:Pедактор сайта Время публикации: 2023-01-02 Происхождение:Работает
Переломы пястно-фаланговых костей являются частым переломом при травме кисти, на который приходится примерно 1/4 всех пациентов с травмой кисти.Из-за деликатной и сложной структуры кисти и ее тонкой моторики лечение переломов кисти является гораздо более важным и технически сложным, чем лечение других длинных трубчатых переломов.
Обеспечение стабильности перелома после репозиции является залогом успеха лечения переломов пястно-фаланговых костей.Для восстановления функции кисти часто требуется надлежащая фиксация перелома, и в прошлом обычно применялась наружная фиксация гипсом или внутренняя фиксация спицами Киршнера, но часто из-за неточной фиксации или длительного времени фиксации, что не способствует ранней послеоперационной суставной реабилитации, а также оказывает большее влияние на функциональное восстановление пястно-фалангового сустава, внося определенные трудности в функциональную реабилитацию кисти.
В современных методах лечения все чаще используется более сильная внутренняя фиксация, такая как фиксация винтами микропластины.
Принципы лечения переломов пястных и фаланг пальцев кисти: анатомическая репозиция, легкая и прочная фиксация, ранняя подвижность и функциональные упражнения.Принципы лечения внутрисуставных и околосуставных переломов кисти такие же, как и при других внутрисуставных переломах: восстановление анатомии суставной поверхности и ранняя функциональная активность.Лечение переломов пястных костей и фаланг пальцев кисти должно быть направлено на достижение анатомической репозиции без ротации, латерального наклона или углового смещения более чем на 10° к дорсальной поверхности ладони.Если сломанный конец пястной кости повернут или сместится латерально под углом, это изменит нормальную траекторию движения сгибания и разгибания пальца, вызывая его отталкивание или падение от соседнего пальца во время сгибания, влияя на точность функция пальцев;в то время как угловое смещение >10° к тыльной стороне ладони разрушит гладкую контактную поверхность кости и сухожилия, увеличивая сопротивление и диапазон движения сухожилия при сгибании и разгибании и вызывая хроническое повреждение сухожилия, вызывая риск разрыва сухожилия.риск разрыва сухожилия.
Переломы пястной кости и фаланги сходны по своей способности переносить ротационную деформацию, в то время как пястная кость лучше переносит укорочение смещения и дорсальное угловое смещение, чем фаланга.Запястно-пястные и пястно-фаланговые суставы могут компенсировать угловую деформацию пястной кости, а кольцевидный мизинец лучше приспособлен к угловой деформации пястной кости, чем указательный средний палец.Снижение силы захвата из-за внутреннего укорочения мышц кисти становится очевидным только тогда, когда пястные кости наклонены более чем на 30° к дорсальной стороне.
Хирургический доступ при переломах пястных костей относительно прост и обычно использует дорсальный доступ, как показано на рис. 4-14.Вторая пястная кость разрезается радиально, пятая пястная кость разрезается ульнарно, а третья и четвертая пястные кости часто разрезаются медиально.Если одновременно оперируют две соседние пястные кости, используют срединный S-образный разрез, учитывающий обе хирургические области.

Существует множество материалов для внутренней фиксации переломов пястно-фаланговых костей, таких как спицы Киршнера, винты, пластины и каркасы внешней фиксации, среди которых наиболее часто используются спицы Киршнера и микропластины.При переломах пястных костей внутренняя фиксация микропластинами имеет очевидные преимущества перед фиксацией спицами Киршнера и может быть предпочтительнее;при переломах проксимальных фаланг, как правило, предпочтительнее микропластина, но при затруднении установки винтов в дистальный сегмент проксимальных фаланг и переломов головки предпочтительна внутренняя фиксация скрещенными спицами Киршнера, что в большей степени способствует функциональному восстановлению пораженного Палец;для лечения переломов средних фаланг предпочтительнее использовать спицы Киршнера.
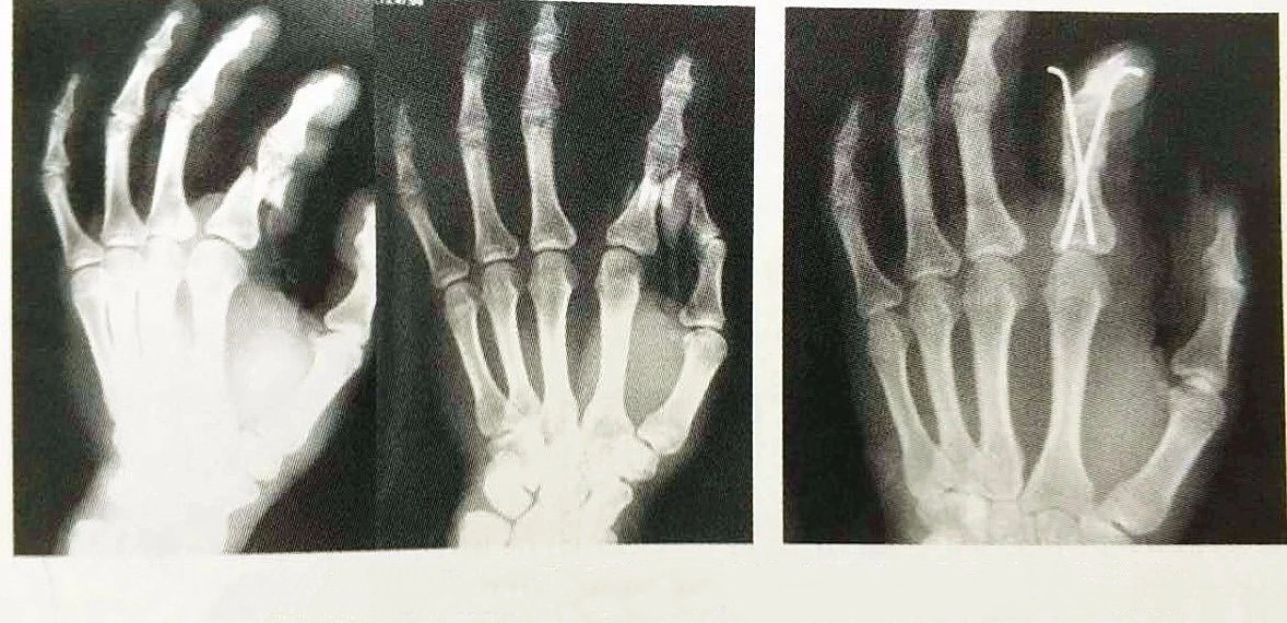
Внутренняя фиксация иглой Киршнера применяется в клинике более 70 лет и является наиболее часто используемым материалом для внутренней фиксации при переломах пястно-фаланговых костей, который прост в эксплуатации, экономичен и практичен, а также является наиболее классическим методом внутренней фиксации, как показано на рисунке. на рис. 4-15.как наиболее часто используемый внутренний фиксатор для лечения переломов рук, он до сих пор широко используется.
① прост в эксплуатации и очень гибок в использовании;
② меньшая зачистка мягких тканей, меньшее влияние на кровоток в конце перелома, меньшая хирургическая травма и благоприятное для заживления перелома;
③ легкое извлечение вторичного штифта;
④ низкая стоимость и широкое применение, применимо к большинству переломов кисти (таких как внутрисуставные переломы, тяжелые оскольчатые переломы и переломы концевых фаланг).
(1) по сравнению с фиксацией пластиной стабильность плохая, а укорочение и ротационное смещение нельзя контролировать с помощью одного штифта, обычно для поперечной фиксации требуется более двух штифтов;
2) компрессионное воздействие на конец трещины отсутствует;
(3) поверхность сустава повреждена поперечной фиксацией;
(4) фиксация сустава и блокада сухожилия препятствуют ранней нагрузке сустава руки и влияют на функциональное восстановление.
С быстрым развитием современных методов и оборудования для внутренней фиксации внутренняя фиксация спицами Киршнера становится все более и более совершенной, и большинство из них можно фиксировать без пересечения сустава, с небольшим повреждением мягких тканей и сухожилий вокруг сустава и не влияя на раннюю послеоперационную тренировку суставов.С помощью рентгеновского аппарата С-дуги в некоторых случаях также можно добиться удовлетворительных результатов путем закрытой репозиции внутренней фиксации спицами Clinique, что дополнительно снижает повреждение местных мягких тканей и влияние на кровоснабжение конца перелома, таким образом способствовать заживлению перелома.
① Зафиксируйте более крупные костные блоки с помощью штифтов Кристен диаметром 1,0–1,2 мм и определите точку входа и направление входа в соответствии с направлением линии перелома;
② С целью восстановления силовой линии внутрисуставные переломы необходимо анатомически репозиционировать и прочно зафиксировать;
③ Не все костные блоки нужно фиксировать штифтами Кристен, и с целью достижения стабильности конца перелома штифты Кристен следует использовать как можно реже;
④ Штифты Кристен не фиксируются через сухожилие или дорсальную сухожильную мембрану пальца, чтобы создать максимально раннюю функциональную нагрузку;
⑤ должен быть строгий предоперационный план и не повторять операцию интраоперационно, иначе блок перелома может быть более раздробленным или даже нефиксируемым;
⑥ обычно булавку Киршнера следует помещать в кожу, чтобы уменьшить вероятность заражения, и ее несложно удалить.

Сильная внутренняя фиксация переломов кисти является основой для ранней функциональной нагрузки и необходима для восстановления хорошей функции кисти. Техника внутренней фиксации АО требует точной анатомической репозиции конца перелома и стабилизации конца перелома в функциональном состоянии, что обычно называют как сильная фиксация, чтобы обеспечить раннее активное движение. AO также делает упор на минимально инвазивные хирургические операции, которые сосредоточены на защите кровотока.АО также уделяет особое внимание минимально инвазивным хирургическим процедурам, направленным на сохранение кровотока.Внутренняя фиксация перелома кисти микропластинами дает удовлетворительные результаты с точки зрения прочности, стабильности конца перелома и давления между концами.С точки зрения послеоперационного функционального восстановления, времени заживления переломов и частоты инфицирования, эффективность пластин из микротитана считается значительно лучше, чем у штифтов с прорезями, а также потому, что время заживления переломов после фиксации микротитановыми пластинами значительно короче, чем при других видах фиксации. методы, что способствует скорейшему возвращению пациента к нормальной жизни.
(1) по сравнению со штифтами с пропилом винты для микропланшетов обладают лучшей гистосовместимостью и тканевой реакцией;
(2) стабильность системы фиксации пластинчатым гвоздем и давление на конец перелома делают перелом ближе к анатомической репозиции, более надежной фиксации, что способствует заживлению перелома;
(3) ранние функциональные упражнения, как правило, разрешены после фиксации микропластинами, что способствует восстановлению функции кисти.

Микровинты для фиксации спиральных или длинных косых переломов обладают такой же стабильностью, как и стальные пластины, но площадь зачистки мягких тканей и надкостницы меньше, чем у фиксации стальной пластиной, что способствует защите кровотока и соответствует концепции минимально инвазивной хирургии. операция.Хотя для переломов проксимального отдела сустава существуют шины Т- и L-типа, послеоперационный повторный визит хуже, чем при диафизарных переломах, а микровинты имеют некоторые преимущества для интра- и периартикулярной фиксации переломов.Винты, ввинченные в кортикальный слой кости, могут выдерживать большую стрессовую нагрузку, поэтому фиксация является прочной и может оказывать давление между концами перелома, чтобы привести поверхности перелома в тесный контакт, что сокращает время заживления и облегчает заживление перелома, как показано на рисунке 4- 18.микровинты в основном используются при косых или спиральных переломах диафиза и внутрисуставных отрывных переломах больших костных масс.Важно отметить, что длина переломной нити должна быть не менее чем в два раза больше диаметра диафиза при фиксации косых или спиральных переломов ножки кисти с использованием одних микровинтов, и не менее чем в три раза больше ширины диаметра нити при фиксации интрафиза. - Суставные отрывные блоки переломов.

Оскольчатые переломы пястно-фаланговых костей иногда трудно вправить анатомически даже с помощью хирургического разреза или невозможно прочно зафиксировать изнутри из-за разрушения костного каркаса.Скоба внешней фиксации позволяет оскольчатому перелому восстановиться и сохранить свою длину под действием тракции, играя относительно фиксированную роль, как показано на рис. 4-19.Размещение скобы внешней фиксации различается для разных пястных костей: 1-я и 2-я пястные кости располагаются на дорсальной лучевой стороне, 4-я и 5-я пястные кости располагаются на дорсально-локтевой стороне, а 3-я пястная кость размещается на дорсально-лучевой или дорсальной стороне. локтевая сторона в зависимости от ситуации, обращая внимание на точку входа, чтобы предотвратить повреждение сухожилия.Закрытые переломы можно закрыть и изменить положение под рентгенологическим контролем, а также можно сделать небольшие надрезы, чтобы помочь в изменении положения, если изменение положения не является идеальным.

(1) он прост в эксплуатации и может регулировать различные смещения конца трещины;
(2) он может эффективно вправлять и фиксировать внутрисуставные переломы пястных фаланг, не повреждая суставную поверхность, и может отвлекать суставную поверхность, предотвращая контрактуру суставной капсулы и латеральных коллатеральных связок;
(3) его можно комбинировать с ограниченной внутренней фиксацией при оскольчатых переломах, которые не могут быть вправлены анатомически, а корсет внешней фиксации может частично вправляться и поддерживать силовую линию;
(4) это позволяет ранние функциональные упражнения пораженного пальца в незафиксированном суставе, чтобы избежать суставной
(5) Он может эффективно исправить перелом руки, не влияя на послеоперационное лечение раны пораженной руки.
Для ЧМЕДИТЕХ, у нас есть очень полная линейка имплантатов для ортопедической хирургии и соответствующих инструментов, включая продукты имплантаты позвоночника, интрамедуллярные гвозди, травматическая пластина, Стопорная шайба, черепно-челюстно-лицевой, протез, электроинструменты, внешние фиксаторы, артроскопия, ветеринарная помощь и сопутствующие им наборы инструментов.
Кроме того, мы стремимся постоянно разрабатывать новые продукты и расширять линейки продуктов, чтобы удовлетворить хирургические потребности большего числа врачей и пациентов, а также сделать нашу компанию более конкурентоспособной на мировом рынке ортопедических имплантатов и инструментов.
Мы экспортируем по всему миру, поэтому вы можете связаться с нами по адресу электронной почты song@orthopedic-china.com, чтобы получить бесплатное предложение, или отправьте сообщение в WhatsApp, чтобы получить быстрый ответ +86-18112515727.
Если хотите узнать больше информации, нажмите ЧМЕДИТЕХ чтобы найти более подробную информацию.
Дистальный голени: прорыв в лечении переломов дистального большеберцовой кости
Производители TOP9 в Америке: тарелки для блокировки дистальной плечевой кости (май 2025 г.)
Производители TOP8 в Океании: тарелки с дистальной плечевой кости (май 2025 г.)
Производители TOP10 в Азии: тарелки для блокировки дистальной плечевой кости (май 2025 г.)
Производители TOP7 в Африке: тарелки для блокировки дистальной плечевой кости (май 2025 г.)
Производители TOP6 в Европе: тарелки для блокировки дистальной плечевой кости (май 2025 г.)
Фиксирующая пластина локтевого отростка: восстановление стабильности и функции локтя
Фиксирующая пластина ключицы: повышение стабильности и заживления
Ортопедическая пластина из нержавеющей стали: улучшение заживления и стабильности костей