Просмотры:51 Автор:Pедактор сайта Время публикации: 2023-06-06 Происхождение:Работает
Ортопедические операции часто включают использование различных имплантатов и методов фиксации для стабилизации и ускорения заживления переломов и деформаций костей.Одним из таких эффективных решений является стержень для предотвращения вращения проксимального отдела бедренной кости (PFNA).В этой статье рассматриваются преимущества, показания, хирургическая техника, преимущества перед другими методами фиксации, процесс восстановления, возможные осложнения, показатели успеха и соображения стоимости, связанные с хирургией ногтей PFNA.

Хирурги-ортопеды часто сталкиваются со сложными переломами проксимального отдела бедренной кости, широко известными как переломы шейки бедра.Эти переломы могут значительно повлиять на подвижность человека и качество жизни.Гвоздь PFNA специально разработан для лечения этих переломов, обеспечивая стабильную фиксацию и способствуя ранней мобилизации.
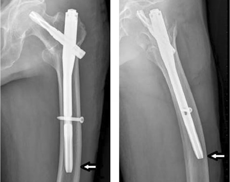
Гвоздь PFNA представляет собой специально разработанный интрамедуллярный стержень, используемый в ортопедической хирургии для стабилизации переломов проксимального отдела бедренной кости.Он состоит из длинного узкого металлического стержня, который вводится в интрамедуллярный канал бедренной кости от бедра до колена.Уникальная конструкция стержня PFNA обеспечивает стабильность вращения, способность распределять нагрузку и улучшает заживление переломов.

Стабильная фиксация: Гвоздь PFNA обеспечивает превосходную стабильность, позволяя раннюю мобилизацию и нагрузку.
Свойства распределения нагрузки: Гвоздь помогает распределить нагрузку на бедренную кость, уменьшая нагрузку на сломанную кость и способствуя заживлению.
Минимальное повреждение мягких тканей: Минимально инвазивный характер введения стержня PFNA приводит к меньшему повреждению окружающих мягких тканей, что приводит к более быстрому выздоровлению.
Улучшение заживления переломов: Форма стержня обеспечивает оптимальное выравнивание и контакт между фрагментами сломанной кости, способствуя более быстрому и надежному заживлению.
Гвоздь PFNA в первую очередь показан для лечения различных переломов бедра, включая межвертельные переломы, подвертельные переломы и некоторые переломы шейки бедра.Он особенно эффективен в тех случаях, когда требуется стабильная фиксация для обеспечения ранней нагрузки и подвижности.
Введение штифта PFNA включает несколько ключевых этапов, обеспечивающих правильное выравнивание и стабильную фиксацию:
Предоперационное планирование: подробные изображения, такие как рентген или компьютерная томография, используются для оценки картины перелома, размера и пригодности для введения стержня PFNA.
Позиционирование пациента: пациент располагается на операционном столе соответствующим образом, чтобы облегчить доступ к сломанной бедренной кости.
Разрез и подход: рядом с большим вертелом делается небольшой разрез, и под рентгеноскопическим контролем в бедренную кость вводится проводник.
Введение и фиксация гвоздя: Гвоздь PFNA осторожно вводят по проводнику, обеспечивая правильное выравнивание и избегая повреждения окружающих структур.Винты используются для фиксации гвоздя на месте.
Закрытие разреза: Разрез закрывается, и накладываются соответствующие повязки для облегчения заживления раны.

Улучшенные свойства стабильности и распределения нагрузки: Гвоздь PFNA обеспечивает превосходную стабильность по сравнению с традиционными методами фиксации, такими как пластины и винты, что позволяет проводить раннюю мобилизацию.
Минимально инвазивный подход: Минимально инвазивный характер введения стержня PFNA приводит к меньшим разрезам, уменьшению кровопотери и более быстрому выздоровлению.
Снижение риска осложнений: Было показано, что стержень PFNA имеет более низкий риск осложнений, таких как отторжение имплантата, несращение и инфекция, по сравнению с другими методами фиксации.
После операции на ногтях PFNA комплексная программа реабилитации имеет решающее значение для оптимизации результатов и восстановления полной функциональности.Процесс восстановления обычно включает в себя:
Послеоперационный уход: Пациенты находятся под пристальным наблюдением на предмет купирования боли, заживления ран и признаков инфекции.
Весовая нагрузка и подвижность: в зависимости от типа перелома и рекомендаций хирурга пациенты могут постепенно начинать частичную нагрузку с использованием вспомогательных устройств.
Физиотерапия: физиотерапия играет жизненно важную роль в процессе восстановления.Он включает в себя упражнения для улучшения диапазона движений, силы и функциональной подвижности.

Хотя хирургия ногтей PFNA в целом имеет благоприятный профиль безопасности, существуют потенциальные осложнения и риски, связанные с этой процедурой.Сюда могут входить:
Инфекционное заболевание
Отказ имплантата
Несращение или замедленное сращение перелома
Несоответствие длины ног
Повреждение нерва или кровеносного сосуда
Важно, чтобы пациенты обсуждали эти потенциальные риски со своим хирургом и тщательно следовали послеоперационным инструкциям.
Показатели успеха хирургии ногтей PFNA были неизменно высокими при лечении переломов шейки бедра.Многочисленные исследования сообщают о благоприятных клинических результатах, включая улучшение заживления переломов, раннюю мобилизацию и высокий уровень удовлетворенности пациентов.Однако индивидуальные результаты могут варьироваться в зависимости от различных факторов, таких как общее состояние здоровья пациента, тип перелома и соблюдение режима послеоперационной реабилитации.
Стоимость операции на ногтях PFNA может варьироваться в зависимости от таких факторов, как больничное учреждение, гонорары хирурга, продолжительность пребывания в больнице и послеоперационный уход.Для пациентов важно проконсультироваться со своим поставщиком медицинских услуг и страховой компанией, чтобы понять финансовые последствия и страховое покрытие этой процедуры.
Таким образом, стержень PFNA является эффективным ортопедическим решением для стабилизации переломов бедра в проксимальном отделе бедренной кости.Его уникальная конструкция, стабильность и способность распределять нагрузку способствуют улучшению клинических результатов и более быстрому выздоровлению.Хотя процедура сопряжена с потенциальными рисками, общие показатели успеха и удовлетворенности пациентов хирургией ногтей PFNA высоки.Для пациентов важно проконсультироваться с опытным хирургом-ортопедом, чтобы определить наилучший подход к лечению для их конкретного состояния.
Плечевой интрамедуллярный штифт Multi-Lock: достижения в лечении переломов плеча
Титановый эластичный гвоздь: инновационное решение для фиксации переломов
Бедренный интрамедуллярный стержень: многообещающее решение при переломах бедренной кости
Обратный бедренный интрамедуллярный стержень: многообещающий подход при переломах бедренной кости
Большеберцовый интрамедуллярный стержень: надежное решение при переломах большеберцовой кости
Интрамедуллярный штифт плечевой кости: эффективное решение для лечения переломов плечевой кости