Просмотры:155 Автор:Pедактор сайта Время публикации: 2023-05-25 Происхождение:Работает
Переломы бедренной кости, поражающие бедренную кость, могут вызывать сильную боль, неподвижность и функциональные ограничения.Эффективные варианты лечения имеют решающее значение для достижения успешных результатов у пациентов с такими переломами.Одним из таких вариантов, получивших популярность в последние годы, является использование бедренного интрамедуллярного стержня.В этой статье рассматриваются преимущества, хирургическая техника, риски и восстановление, связанные с этим инновационным подходом к лечению.
Переломы бедренной кости могут быть изнурительными и требуют немедленной и тщательной медицинской помощи.Традиционные методы лечения, такие как гипсование или внешняя фиксация, могут иметь ограничения в достижении оптимальных результатов.Техника бедренного интрамедуллярного стержня стала надежным и эффективным решением для лечения переломов бедренной кости.

Бедренный интрамедуллярный стержень — это медицинское устройство, предназначенное для стабилизации и ускорения заживления переломов бедренной кости.Он состоит из металлического стержня, который вставляется в полый центр бедренной кости, обеспечивая стабильность и поддержку во время процесса заживления.Гвоздь обычно изготавливается из титана или нержавеющей стали и бывает разных размеров, чтобы соответствовать разным анатомическим особенностям пациента.
Бедренные интрамедуллярные стержни обычно используются для лечения переломов диафиза бедренной кости.Они особенно эффективны при переломах, требующих стабильной фиксации, таких как оскольчатые или оскольчатые переломы.Этот метод также подходит для случаев, когда желательна немедленная нагрузка или когда качество кости плохое.

Тщательное предоперационное планирование необходимо для успешной хирургии бедренных интрамедуллярных стержней.Это включает в себя всестороннюю оценку характера перелома, общего состояния здоровья пациента и любых связанных с ним травм.Методы визуализации, такие как рентген, компьютерная томография или МРТ, используются для оценки характеристик перелома и принятия решения о хирургическом вмешательстве.
Во время операции пациент обычно располагается на операционном столе на спине.Пораженную ногу препарируют и стерильно оборачивают.Правильное расположение имеет решающее значение для обеспечения оптимального доступа к месту перелома и облегчения введения гвоздя.
Над операционным полем делается разрез для доступа к сломанной кости.Длина и расположение разреза зависят от типа перелома и его расположения вдоль бедренной кости.Аккуратное обращение с мягкими тканями жизненно важно для сведения к минимуму травм и снижения риска инфицирования.
После создания точки входа в проксимальном отделе бедренной кости хирург осторожно вводит бедренный интрамедуллярный стержень в костномозговой канал.Для обеспечения точного размещения и выравнивания используется рентгеноскопический контроль.Гвоздь продвигают через кость, выравнивая любые смещенные фрагменты и восстанавливая правильное анатомическое выравнивание.
После того, как гвоздь будет правильно расположен, вставляются стопорные винты, чтобы зафиксировать гвоздь в кости.Эти винты обеспечивают дополнительную стабильность и предотвращают ротационные или осевые движения фрагментов перелома.Количество и расположение винтов зависят от характера перелома и предпочтений хирурга.
После обеспечения надлежащего выравнивания и фиксации разрез закрывается с помощью швов или скоб.Закрытие раны производится тщательно, чтобы ускорить заживление и свести к минимуму риск инфекции.Накладывают стерильную повязку и защищают операционное поле.

Использование бедренного интрамедуллярного стержня имеет ряд преимуществ по сравнению с традиционными методами лечения.Некоторые из ключевых преимуществ включают в себя:
Стабильная фиксация: использование бедренного интрамедуллярного стержня обеспечивает стабильную фиксацию, позволяя правильно совместить и соединить фрагменты перелома.Эта стабильность способствует лучшему заживлению и снижает риск деформации.
Ранняя мобилизация: при технике интрамедуллярного стержня возможна ранняя мобилизация.Это означает, что пациенты могут раньше приступить к упражнениям с отягощениями и реабилитационным упражнениям, что приведет к более быстрому выздоровлению и улучшению функциональных результатов.
Сохранение кровоснабжения: за счет использования интрамедуллярного канала техника бедренного интрамедуллярного стержня сводит к минимуму нарушение кровоснабжения кости.Сохранение адекватного кровотока имеет решающее значение для оптимального заживления костей и сращения переломов.
Улучшенные косметические результаты: по сравнению с методами внешней фиксации интрамедуллярная хирургия бедренных стержней включает меньшие разрезы.Это приводит к лучшим косметическим результатам, уменьшению рубцов и повышению удовлетворенности пациентов.
Снижение риска осложнений со стороны мягких тканей: техника использования бедренного интрамедуллярного стержня предполагает минимальное повреждение мягких тканей.Это снижает риск осложнений, таких как проблемы с заживлением ран, инфекция мягких тканей и задержка выздоровления.
Хотя бедренная интрамедуллярная хирургия стержня обычно считается безопасной и эффективной, существуют потенциальные осложнения и риски, связанные с этой процедурой.Важно, чтобы пациенты знали об этих возможностях до начала лечения.Некоторые из осложнений включают в себя:
Инфекция: Как и при любой хирургической процедуре, существует риск заражения.Тем не менее, надлежащие стерильные методы, профилактика антибиотиками и послеоперационный уход могут значительно минимизировать этот риск.
Смещение или несращение: в некоторых случаях фрагменты перелома могут не срастаться в желаемом направлении или вообще не срастаться.Такие факторы, как неадекватное вправление, плохое качество кости или чрезмерная нагрузка, могут способствовать неправильному сращению или несращению.Для решения этих проблем может потребоваться тщательный мониторинг и дополнительные вмешательства, такие как ревизионная хирургия.
Осложнения, связанные с имплантатом: хотя и редко, но могут возникнуть осложнения, связанные с имплантатом.Они могут включать ослабление имплантата, поломку или раздражение.При возникновении таких осложнений может потребоваться дальнейшее хирургическое вмешательство.
Повреждение нерва или кровеносного сосуда: во время хирургической процедуры существует небольшой риск повреждения нерва или кровеносного сосуда.Хирурги принимают меры предосторожности, чтобы свести к минимуму этот риск, но пациенты должны знать о возможности и незамедлительно сообщать о любых сохраняющихся или ухудшающихся симптомах.
После интрамедуллярной хирургии бедренных стержней комплексная программа реабилитации имеет решающее значение для оптимального восстановления.Конкретный план реабилитации может варьироваться в зависимости от тяжести перелома, характеристик пациента и указаний хирурга.Физиотерапия, включающая ряд двигательных упражнений, укрепляющие упражнения и тренировку походки, играет жизненно важную роль в восстановлении функции и достижении полного выздоровления.
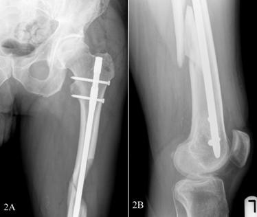
Многочисленные пациенты испытали успешные результаты хирургии бедренных интрамедуллярных стержней.В одном тематическом исследовании участвовал 40-летний мужчина со смещенным переломом диафиза бедренной кости.После операции с бедренным интрамедуллярным стержнем пациент достиг прочного сращения перелома, восстановил полную способность выдерживать нагрузку и вернулся к нормальной деятельности в течение шести месяцев.
При рассмотрении вариантов лечения переломов бедренной кости важно сравнить преимущества и ограничения каждого подхода.Хотя техника интрамедуллярного введения бедренных стержней имеет несколько преимуществ, таких как стабильная фиксация, ранняя мобилизация и улучшенные косметические результаты, она может не подходить для каждого типа перелома или пациента.Альтернативные методы, такие как внешняя фиксация или пластины, могут быть предпочтительнее в некоторых случаях.Консультация со специалистом-ортопедом поможет определить наиболее подходящий подход к лечению в зависимости от индивидуальных обстоятельств.
Таким образом, техника интрамедуллярного введения бедренных стержней является многообещающим и эффективным методом лечения переломов бедренной кости.Он обеспечивает стабильную фиксацию, позволяет раннюю мобилизацию и имеет ряд преимуществ по сравнению с традиционными методами.Хотя существуют потенциальные риски и осложнения, связанные с процедурой, тщательное предоперационное планирование, точная хирургическая техника и соответствующий послеоперационный уход могут помочь минимизировать эти проблемы.Пациенты, перенесшие интрамедуллярную хирургию бедренных стержней с последующей хорошо структурированной программой реабилитации, имеют потенциал для успешного выздоровления и восстановления функции.
Плечевой интрамедуллярный штифт Multi-Lock: достижения в лечении переломов плеча
Титановый эластичный гвоздь: инновационное решение для фиксации переломов
Бедренный интрамедуллярный стержень: многообещающее решение при переломах бедренной кости
Обратный бедренный интрамедуллярный стержень: многообещающий подход при переломах бедренной кости
Большеберцовый интрамедуллярный стержень: надежное решение при переломах большеберцовой кости
Интрамедуллярный штифт плечевой кости: эффективное решение для лечения переломов плечевой кости