Просмотры:41 Автор:Pедактор сайта Время публикации: 2022-08-04 Происхождение:Работает
Мениск представляет собой менискообразный волокнистый хрящ с треугольным поперечным сечением, расположенный между мыщелком большеберцовой кости и плато, который значительно улучшает консистенцию бедренно-большеберцового сустава и играет важную роль в динамике коленного сустава.
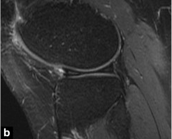
На сагиттальных и фронтальных изображениях нормальный мениск имеет треугольную форму и гипоинтенсивен.На самом латеральном сагиттальном изображении мениск представляет собой структуру типа «бабочка», состоящую из срединного сагиттального разреза в сочетании с передним и задним рогами (рис. 1).

Рисунок 1. Нормальный вид медиального мениска на МРТ.Сагиттальный вид, взвешенный по плотности протонов: передний и задний менисковые углы представляют собой гомогенные гипоинтенсивные треугольники.Мениск имеет дугообразную форму и состоит из участков среднего отдела, соединяющих его передние рога впереди и задние рога позади него.
В сагиттальном разрезе - переход между поперечной и передней связками;
влагалище подколенного сухожилия;
Мениско-бедренная связка Хамфри и Врисберга соединяет задний рог латерального мениска с медиальным мыщелком бедренной кости;
Косая связка мениска, которая иногда соединяет передний рог мениска с задним рогом противоположного мениска, может имитировать мигрирующий мениск или ствольную рукоятку.
Дискоидный мениск — редкая врожденная деформация мениска.Эта менисковая дисплазия поражает почти исключительно латеральный мениск.Его «академический» диагноз на МРТ основан на обнаружении непрерывности передних и задних рогов на сагиттальных изображениях не менее чем в 3-х последовательных срезах толщиной 5 мм (рис. 2).Эти выводы корректируются на основе используемых частичных настроек.


Рисунок 2 Дискоидный латеральный мениск.Сагиттальное Т1-взвешенное изображение.Непрерывность передних и задних углов на 3-х последовательных фиксированных секциях по 5 мм.Обратите внимание на миксоидную дегенерацию переднего рога этого дискоидного мениска.
Обычно принято различать травматический мениск и дегенеративный мениск.Травматические повреждения возникают в результате приложения чрезмерной механической силы к здоровому мениску.У молодых людей трещина обычно возникает из-за непрямой вальгусной травмы, внезапного подъема большеберцовой кости после наружной ротации или чрезмерного сгибания колена под углом 20°.Вместо этого дегенерация происходит в результате нормальных механических сил, действующих на мениск, поврежденный интерстициальной миксоидной дегенерацией.Горизонтальные трещины менисков могут развиваться спонтанно или быть вызваны незначительными травмами.
По направлению плоскости спайности трещины можно разделить на горизонтальные трещины, вертикальные трещины или сложные трещины.
Существует плоскость разделения, параллельная большеберцовому плато, которая делит мениск на верхний и нижний сегменты.Эти горизонтальные поражения широко распространены, могут значительно поражать медиальный или латеральный мениск и считаются стабильными, хотя были описаны обломки, которые мигрируют в борозду после повреждения медиального мениска.
Перпендикулярно большеберцовой плоскости и по окружности мениска.Они чаще поражают медиальный мениск.Полное повреждение считается нестабильным и делит мениск на медиальный и латеральный сегменты.Уровень сканирования также включает тело латерального мениска и задний рог мениска, который легко ошибочно диагностировать как разрыв рукоятки ствола, который чаще возникает при наружной ротации коленного сустава.В сочетании с сагиттальными изображениями можно исключить разрыв рукоятки ствола (рис. 3).

А. Корональная МРТ, стрелка указывает на задний рог латерального мениска, который легко принять за трещину рукоятки ствола;B. При выполнении МРТ-сканирования в соответствии с положением, показанным пунктирной линией на рисунке, появится псевдоразрыв рукоятки ствола.
Радиальные трещины располагаются перпендикулярно периметру мениска и обычно затрагивают свободный край мениска.
Представляет собой смешанное вертикальное повреждение, состоящее из продольного компонента и радиального компонента, циклически распространяющегося по свободному краю.
Наконец, существуют сложные повреждения мениска без четкого описания, включающие множественные горизонтальные и вертикальные трещины.
Столлер и др.предложено 3 степени мениска (рис. 4)
Степень 1: гиперинтенсивный узловой мениск сохраняется на поверхности мениска;
Степень 2: линейный мениск с высоким сигналом сохраняется на поверхности мениска;
3 степень: гиперинтенсивность распространяется на одну суставную поверхность мениска.



Рисунок 4 Шкала Столлера.а: степень 1: один или несколько промежуточных узловых гиперинтенсивных участков, связанных с суставной поверхностью мениска;б: степень 2: линейная промежуточная гиперинтенсивность на суставной поверхности мениска;c: Степень 3: Линейная промежуточная гиперинтенсивность, распространяющаяся на суставную поверхность мениска.
Хотя разница между степенями 2 и 3 невелика, она отличает дегенеративную интраменискальную гиперинтенсивность (рис. 5) от истинных трещин.Это различие между дегенерированным и разорванным мениском не всегда однозначно, и существует множество источников ошибок из-за появления лишних или отсутствующих менисков.

Рисунок 5. Дегенеративный вид мениска.Сагиттальный вид плотности протонов с насыщением жиром.Области с высоким уровнем сигнала можно увидеть без какого-либо истинного линейного изображения трещины.
МРТ имеет отличные характеристики с чувствительностью и специфичностью от 90% до 95%.На МРТ расщелина мениска выглядит как промежуточное линейное гипоинтенсивное расширение на одну из суставных поверхностей мениска (Стеллер 3 степени) или чисто морфологическая аномалия.
Когда разрыв виден только на одном срезе, возникают некоторые трудности, особенно высокий риск ложноположительных результатов.Если гиперинтенсивность в пределах линейного мениска существенно влияет на поверхность мениска, т. е. не менее чем в двух соседних отделах, ее рекомендуется считать патологической.Эта концепция должна быть адаптирована в зависимости от используемого метода получения изображения (срезы размером 3–4 мм или получение трехмерного объема с помощью изотропных миллиметровых срезов).
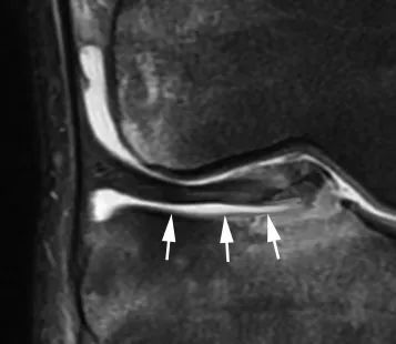
Прерывание или ампутация свободного края на фронтальном изображении;
Прерывистый или усеченный вид мениска-бабочки на сагиттальном изображении (рис. 6);

Рис. 6. Радиальная щель в переднем сегменте медиального мениска в сагиттальной проекции, взвешенной по протонной плотности.Нормальный вид усеченной бабочки медиального мениска (стрелка).
Отсутствующий или «фантомный» мениск с неповрежденной радиальной щелью.
Разрыв мениска рукояткой ведра осложняет примерно 10% продольно распространяющегося спондилолистеза.При этом чувствительность МРТ составляет около 70% в зависимости от используемых диагностических критериев.
Наиболее частой находкой является прямая визуализация мигрирующих отломков в межмыщелковой области: ориентир «двойной задней крестообразной связки (ЗКС)» характерен при повреждении медиального мениска и интактности передней крестообразной связки.Вывихнутый сегмент выглядит как дугообразная гипоинтенсивная полоса, параллельная нормальной задней крестообразной связке, создавая вид «двойной ЗКС» (рис. 7).Избыточные грабельные рожки (размером более 6 мм) также могут свидетельствовать о наличии рукоятки ствола (рис. 8).В этом случае вывихнутый фрагмент мениска прикрепляется к здоровому переднему рогу.

Рисунок 7 Внешний вид рукоятки медиального мениска имеет признак «двойной ЗКС».Сагиттальный PD-взвешенный вид с подавлением жировой ткани: смещенный фрагмент мениска (стрелка) лежит ниже нормальной ЗКС (стрелка) и образует характерный вид «двойной ЗКС».

Рисунок 8 Внешний вид переднего гигантского рога.Сагиттальный вид, взвешенный по плотности протонов.Передняя часть вывихнутого фрагмента (стрелка) прикрепляется к переднему углу мениска (стрелка).Обратите внимание, что задние углы не показаны (*).
Были подтверждены и другие признаки МРТ, такие как отсутствие галстука-бабочки, знак перевернутого мениска или фрагменты мениска, смещенные непосредственно в межмыщелковую область на миллиметровых фронтальных изображениях (рис. 9) или аксиальных изображениях.

Рис. 9 Смещенная рукоятка ковша в прорези.Фронтальное PD-взвешенное изображение после подавления жира.Смещенный фрагмент мениска (стрелка) контактирует с ПКС (стрелка).
Другим формальным признаком нестабильности мениска является выявление периферического смещения фрагментов мениска в бедренно-менисковое углубление или бедренно-большеберцовое углубление.Эти смещения затрагивают почти исключительно медицинский мениск и в 10% случаев являются осложнением некоторых случаев горизонтальной расщелины.Корональные и поперечные срезы — лучший способ идентифицировать эти фрагменты.
Отслойка мениска возникает в результате тяжелой вальгусной травмы и вызвана разрывом капсулярного придатка мениска.Они, как правило, поражают задний рог медиального мениска, который прикрепляется к суставной капсуле через утолщение суставной капсулы (задняя косая связка).
Они приводят к смещению верхнего мениска на 5 мм от заднего края пластины большеберцовой кости на сагиттальных изображениях (рис. 11) или проникновению жидкости между основанием мениска и плоскостью суставной капсулы.

Рисунок 11. Отслойка заднего рога мениска.Сагиттальный вид плотности протонов.Отделившийся мениск смещен кпереди.Имеется большая область гиперинтенсивности (*) между основанием мениска и задней капсулой (стрелка).
Это результат насильственной травмы и связано с разрывом мениско-большеберцовой связки и отслоением медиальной части мениска.На МРТ отделенный мениск полностью окружен жидкостью и кажется «плавающим» на плато большеберцовой кости (рис. 12).

Рисунок 12 Плавающий мениск.Фронтальное изображение плотности протонов с насыщением жиром.Отделившийся мениск окружен жидкостью, особенно между его нижней поверхностью и плато большеберцовой кости (стрелка).
Рецидивирующая боль после менискэктомии представляет множество диагностических трудностей: рецидивирующие трещины, постменискэктомия, хондролиз, субхондральный некроз или артралгия.МРТ часто не может обнаружить рецидивирующие трещины, потому что менискэктомия оставляет промежуточные участки гиперинтенсивности, которые «неправильно» сообщаются с поверхностью мениска.Единственной находкой, которая считалась патологической и интерпретировалась как рецидивирующая трещина, была гиперинтенсивность жидкости внутри мениска на Т2-взвешенных изображениях.Эти ограничения простой МРТ побудили некоторых авторов предложить использование МРТ-артроскопии, хотя и здесь результаты противоречивы.
Для ЧМЕДИТЕХ, у нас есть очень полная линейка имплантатов для ортопедической хирургии и соответствующих инструментов, включая продукты имплантаты позвоночника, интрамедуллярные гвозди, травматическая пластина, Стопорная шайба, черепно-челюстно-лицевой, протез, электроинструменты, внешние фиксаторы, артроскопия, ветеринарная помощь и сопутствующие им наборы инструментов.
Кроме того, мы стремимся постоянно разрабатывать новые продукты и расширять линейки продуктов, чтобы удовлетворить хирургические потребности большего числа врачей и пациентов, а также сделать нашу компанию более конкурентоспособной на мировом рынке ортопедических имплантатов и инструментов.
Мы экспортируем по всему миру, поэтому вы можете связаться с нами по адресу электронной почты song@orthopedic-china.com, чтобы получить бесплатное предложение, или отправьте сообщение в WhatsApp, чтобы получить быстрый ответ +86-18112515727.
Если хотите узнать больше информации, нажмите ЧМЕДИТЕХ чтобы найти более подробную информацию.
Дистальный голени: прорыв в лечении переломов дистального большеберцовой кости
Производители TOP9 в Америке: тарелки для блокировки дистальной плечевой кости (май 2025 г.)
Производители TOP8 в Океании: тарелки с дистальной плечевой кости (май 2025 г.)
Производители TOP10 в Азии: тарелки для блокировки дистальной плечевой кости (май 2025 г.)
Производители TOP7 в Африке: тарелки для блокировки дистальной плечевой кости (май 2025 г.)
Производители TOP6 в Европе: тарелки для блокировки дистальной плечевой кости (май 2025 г.)
Фиксирующая пластина локтевого отростка: восстановление стабильности и функции локтя
Фиксирующая пластина ключицы: повышение стабильности и заживления
Ортопедическая пластина из нержавеющей стали: улучшение заживления и стабильности костей