Просмотры:40 Автор:Pедактор сайта Время публикации: 2022-12-08 Происхождение:Работает
Закрытая репозиция является минимально инвазивной техникой, которую можно использовать при стабильных переломах конечностей без потери кровотока, риска инфицирования, быстрого функционального восстановления, значительного снижения медицинских затрат, а также для закрытой репозиции полым гвоздем и интрамедуллярной фиксацией штифтом. лечение различных нестабильных переломов, таких как переломы шейки бедра, переломы ножки бедра, переломы большеберцовой кости, переломы ножки плечевой кости и др., устранение нарушения кровотока путем инцизионной редукции.
Больного укладывают в постель и производят тракцию бугристости большеберцовой кости в нейтральном положении пораженной конечности с легкой внутренней ротацией.Вес вытяжения варьируется от человека к человеку, обычно 6-9 кг, а продолжительность вытяжения не должна превышать 12 часов.90% пациентов могут добиться репозиции тракцией.
Если тракцией не удается достичь требований к репозиции, можно добавить ручную репозицию под эпидуральной анестезией:
Цель состоит в том, чтобы зафиксировать таз, наружную ротацию пораженной конечности и увеличение силы тяги, а затем внутреннюю ротацию и внутреннюю ретракцию пораженной конечности для достижения цели изменения положения.
Больной ложится на землю, сгибает пораженное бедро и колено на 90°, тракцию по бедренной оси пораженной конечности в течение 2-3 мин, затем внутренне ротирует пораженную конечность и слегка сгибает ее, после вправления осторожно опускает пораженной конечности, и если пораженная стопа не ротирована наружу, это в основном указывает на успешное вправление.Перед выполнением внутренней фиксации для проверки использовали С-дугу.
Если репозиция не достигается вышеуказанными методами, это обычно указывает либо на перелом головки бедренной кости, либо на ротационное разделение между головкой и шейкой (рис. 1А), либо на вставку где-то между головкой и шейкой. шея.(Это может произойти в любом из типов Garden II, III или IV).В этом случае ротация пораженной конечности для совмещения перелома головы и шейки уже неэффективна.Чтобы избежать разреза и репозиции, для репозиции перелома можно использовать технику чрескожного введения иглы.
Костную циркулярную иглу диаметром 3,0–3,5 мм вводят вертикально через кожу на 1–2 см ниже места соединения паховой связки и бедренной артерии к передней части головки бедренной кости, после чего иглу поворачивают глубже к центру. головки бедренной кости под контролем аппарата С-дуги (рис. 1В).
Для усиления рвущей силы можно ввести вторую костную циркулярную иглу на 4-5 мм параллельно этой игле, оставив конец иглы вне кожи.
Через большой вертел чрескожно просверливают две костные циркулярные иглы диаметром 3,5 мм в соответствии с углом шейной ножки и углом наклона кпереди, достигая дистального конца перелома шейки бедренной кости (через перелом не проходят) и оставляя конец иглы вне кожи.
Оператор держит два набора хвостов игл обеими руками и регулирует секции перелома головы и шеи, чтобы они совпадали друг с другом при сотрудничестве с ассистентом (рис. 1C-E).
После удовлетворительного выравнивания костный круглый штифт, вставленный в большой вертел, ввинчивается в головку бедренной кости для временной фиксации, а затем в головку бедренной кости вставляют несколько полых винтов (рис. 1F).
Метод закрытой репозиции, описанный выше, позволяет добиться необходимой репозиции примерно в 98% случаев переломов шейки бедра.Чем лучше совмещение перелома, закрытого или надрезанного, тем лучше прогноз.Обычно степень переломо-вывиха, показанная на рентгенограмме, меньше, чем реальная степень переломо-вывиха.Поскольку совмещение перелома напрямую влияет на заживление перелома и возможность некроза головки бедренной кости, необходимо правильно оценить рентгенограмму после совмещения перелома.Если S-образная кривая не является плавной или прерывистой, это свидетельствует о том, что перелом шейки бедренной кости не достиг анатомической репозиции (рис. 2).


Рис. 1. Перелом шейки бедренной кости, вправленный с помощью чрескожной иглы.

Рис. 2. Рентгенограммы перелома шейки бедренной кости с непрерывной внешней кривой в анатомическом положении и прерывистой внешней кривой в неанатомическом положении.
Техника закрытой репозиции может помочь в выравнивании перелома ножки бедренной кости без повреждения мягких тканей или кровоснабжения конца перелома и может использоваться для внутренней фиксации с помощью интрамедуллярного стержня.
Под эпидуральной анестезией больной ложится плашмя на койку (кожа пораженной конечности в это время не стерилизована), один ассистент держит икру пораженной конечности, а другой ассистент салфеткой оттягивает корень бедра пациента ремень для противодействия вытяжению, при этом пораженная конечность находится в нейтральном положении, а коленная чашечка обращена вверх (перелом ножки бедренной кости обычно не ротируется и не смещается при натяжении мышц и может быть исправлен автоматически путем вытяжения, поэтому оператору требуется только исправить переднезаднее и боковое смещение сломанного конца ножки).
Оператор использует обе руки, чтобы обхватить пораженную конечность и держит руки вместе (рис. 3 и рис. 4), и одновременно исправляет передне-заднее и боковое смещение перелома, используя косую зажимную силу обоих предплечий.
Например, если проксимальный сегмент перелома бедренной кости смещен кнаружи и кпереди, одно предплечье используется для сжатия проксимального сегмента перелома внутрь и вниз.Другое предплечье сжимает дистальный сегмент перелома наружу и вверх, чтобы позаимствовать усилие зажима (врач, выполняющий вправление, должен правильно оценить направление смещения перелома и расстояние смещения перед повторным вправлением), чтобы перелом можно было успешно вправить за один раз.В процессе репозиции ассистент должен увеличить силу вытяжения и не допускать вращения бедренной кости.
Когда конец перелома в основном притерт, должен быть слышен слабый звук трения кости, в это время ассистент должен по-прежнему поддерживать тракцию, но уменьшать силу тракции.
Когда перелом в основном выровнен с помощью аппарата С-дуги (если небольшое смещение все еще есть, внесите некоторые коррективы, чтобы убедиться, что концы перелома совпадают друг с другом), сохраняйте тракцию, продезинфицируйте пораженную конечность и расстелите полотенце, а затем выполнить интрамедуллярную фиксацию гвоздями.

Рис. 3. Передне-заднее и боковое смещение перелома корректируют одновременно, обхватывая пораженную конечность обеими руками и сцепляя кисти вместе, используя зажимную силу обоих предплечий.

Рис. 4. Схема механики репозиции перелома ножки бедренной кости.
Для пациентов с большим смещением перелома, неудачными закрытыми манипуляциями или оскольчатыми переломами хирургическая тракционная кровать может использоваться для закрытой репозиции с некоторой инструментальной силой, которая также может эффективно завершить закрытую репозицию перелома ножки бедренной кости.
После размещения пораженной конечности на тракционной раме для вытяжения и осмотра С-дуги, показывающего, что смещение перекрывающихся переломов было скорректировано, дистальный конец пораженной конечности можно скорректировать внутрь для дальнейшего восстановления выравнивания и выравнивания в ортостатическом изображении бедренный ствол.
Поскольку напряжение мышц бедра при тракции может играть роль шинирования мягких тканей при переломе ножки бедренной кости, большинство переломов ножки бедренной кости могут получить более удовлетворительное выравнивание на ортогональном рентгеновском изображении.
Однако в настоящее время из-за отсутствия эффективной опоры на дистальном конце переломного сегмента под действием силы тяжести дистальный переломный сегмент ножки бедренной кости в основном смещается кзади, и в это время стерильная махровая салфетка На заднюю сторону дистального конца перелома после стерилизации, подготовки кожи и укладки стерильных пластырей можно наложить ортез, а заднее смещение дистального конца перелома можно исправить, регулируя высоту ортеза.
Если заднее смещение дистального сегмента перелома еще не устранено, проксимальный стержень может быть установлен чрескожно на верхушке большого вертела или грушевидной ямке, а затем в костномозговую полость проксимального сегмента перелома вводится интрамедуллярный репозиционный стержень. бедренной кости, а рукоятку интрамедуллярного репозиционирующего стержня умеренно поднимают вперед, чтобы отжать проксимальный перелом бедренной кости назад с помощью рычага репозиционного стержня, тем самым восстанавливая совмещение со смещенным кзади дистальным переломом,
После совмещения перелома в дистальную полость перелома вводят длинный направляющий штифт для завершения закрытого вправления.Интрамедуллярный репозиционный стержень особенно эффективен при коррекции деформаций сгибания, отведения и наружной ротации, характерных для проксимальных переломов проксимального отдела бедренной кости (рис. 5).
Для остаточного бокового смещения отверстие изогнутого конца интрамедуллярного стержня можно отрегулировать, чтобы направить длинный направляющий штифт в дистальную полость перелома для завершения закрытой репозиции.
Другой метод закрытой репозиции заключается в том, чтобы ввинтить стержень Шанца в кортикальный слой кости на стороне смещенного конца перелома и скорректировать конец перелома с помощью стержня Шанца для закрытой репозиции (рис. 6).После удовлетворительного совмещения перелома интрамедуллярный стержень вводят в проксимальную и дистальную костномозговую полость перелома для завершения внутренней фиксации (рис. 7).

Рисунок 5. Манипуляции с проксимальным сегментом перелома для закрытой репозиции с помощью интрамедуллярного репозиционного стержня.

Рисунок 6. Закрытая репозиция с использованием стержня Шанца, помещенного в односторонний кортикальный слой кости в конце перелома.

Рисунок 7. Интрамедуллярная фиксация стержнем закрытой репозиции многосегментарного оскольчатого перелома ножки бедренной кости с использованием стержня Шанца.
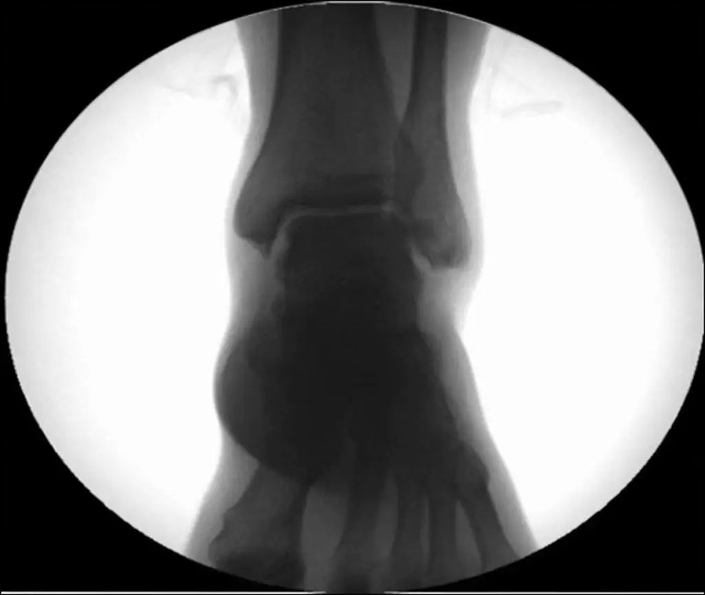
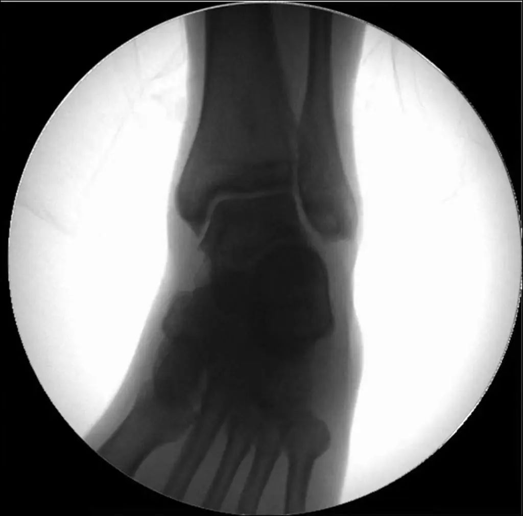
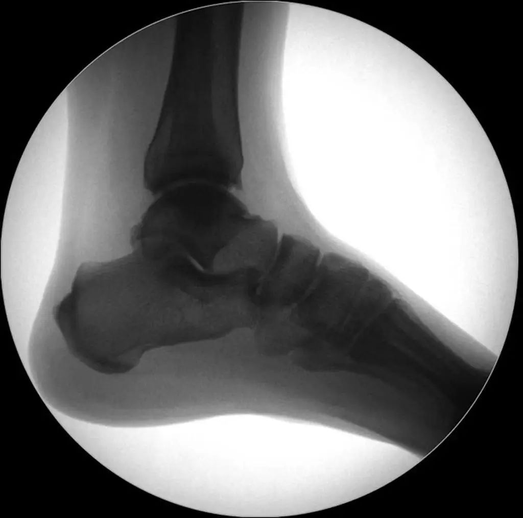
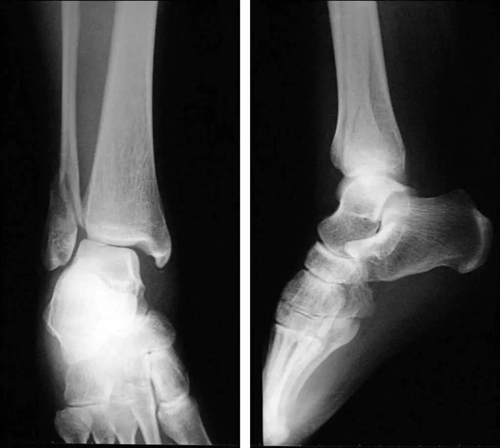
Рентгенодиагностика. Стандартная визуализирующая оценка голеностопного сустава должна включать 3 фазы: переднезаднюю (рис. 8), точку голеностопного сустава (внутренняя ротация 15°) (рис. 9) и боковую (рис. 10).
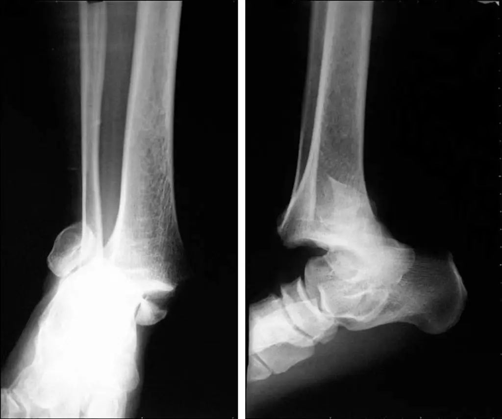
При серьезном повреждении голеностопного сустава внутренняя и внешняя лодыжки и таранная кость смещаются на 11 различных градусов (рис. 11).Статические рентгенограммы не точно отражают стабильность голеностопного сустава.Стресс-рентгенограммы и МРТ могут улучшить оценку стабильности голеностопного сустава и повреждения связок (рис. 12).
В этом случае необходимо точно определить тип повреждения голеностопного сустава по механизму повреждения и рентгенологическим данным пораженной конечности, чтобы правильно провести репозицию и фиксацию.
Иногда простой медиальный перелом лодыжки может быть частью более сложного «перелома Maisonneuve», который также включает перелом проксимального отдела малоберцовой кости и комбинированное повреждение связок, поэтому следует рентгенографически исследовать всю большеберцовую кость.

Рисунок 8 Переднее и заднее положение

Рисунок 9. Точки голеностопного сустава (15° внутренней ротации)

Рисунок 10 Боковое положение

Рис. 11. Смещение перелома, по-видимому, в сочетании с вывихом.

Рисунок 12. Рентгенограмма под нагрузкой (разрыв треугольной связки)
Обычно берется анестезия бедренного и седалищного нервов.
Задненаружная ротация по типу закрытой репозиции выполняется в порядке наружное голеностопное-внутреннее голеностопное-заднее голеностопно-нижнеберцовое сращение.Задняя ротация-внутренняя ротация выполняется в порядке внутренняя голеностопная-наружная голеностопная.
В случае задне-наружной ротации IV типа пациент ложится на спину и колено сгибается под углом 90°, чтобы расслабить трицепс голени.
Два ассистента удерживают подколенную часть бедра и стопу соответственно и производят тракцию в направлении переломной деформации (сила тракции не должна быть чрезмерной, чтобы не усугубить травму).
Ассистент, подтягивающий стопу, поворачивает стопу внутрь, чтобы исправить деформацию наружной ротации (рис. 13).Нажимая дистальный конец в сторону большеберцовой кости и оттягивая дистальный конец большеберцовой кости в сторону малоберцовой кости, ассистент поворачивает внутрь и дорсально разгибает голеностопный сустав, чтобы исправить смещение наружной лодыжки и таранной кости (рис. 14).
Сохраняйте положение внутренней ротации-внутренней ротации-дорсального разгибания.Затем блок перелома задней лодыжки удерживается двумя большими пальцами, четыре пальца охватывают дистальную часть большеберцовой кости, и оба больших пальца надавливают и сжимают дистальную часть, одновременно оттягивая дистальную часть большеберцовой кости, чтобы вернуть заднюю часть лодыжки в исходное положение (рис. 15).
Наконец, оператор толкает медиальную лодыжку назад и вниз большими пальцами, чтобы вернуть ее в исходное положение (рис. 16).Два ассистента удерживают стопу и голеностопный сустав в положении внутренней ротации-внутренней ротации-дорсального разгибания для подготовки к фиксации.

Рисунок 13 Тракционная коррекция деформации наружной ротации

Рисунок 14. Коррекция бокового смещения наружной лодыжки и таранной кости.

Рисунок 15. Коррекция смещения голеностопного сустава кзади.

Рисунок 16 Коррекция внутреннего смещения голеностопного сустава
Процесс постротационной внутренней репозиции противоположен процессу постротационной наружной репозиции и выполняется в порядке внутренняя лодыжка-наружная лодыжка.
Для ЧМЕДИТЕХ, у нас есть очень полная линейка имплантатов для ортопедической хирургии и соответствующих инструментов, включая продукты имплантаты позвоночника, интрамедуллярные гвозди, травматическая пластина, Стопорная шайба, черепно-челюстно-лицевой, протез, электроинструменты, внешние фиксаторы, артроскопия, ветеринарная помощь и сопутствующие им наборы инструментов.
Кроме того, мы стремимся постоянно разрабатывать новые продукты и расширять линейки продуктов, чтобы удовлетворить хирургические потребности большего числа врачей и пациентов, а также сделать нашу компанию более конкурентоспособной на мировом рынке ортопедических имплантатов и инструментов.
Мы экспортируем по всему миру, поэтому вы можете связаться с нами по адресу электронной почты song@orthopedic-china.com, чтобы получить бесплатное предложение, или отправьте сообщение в WhatsApp, чтобы получить быстрый ответ +86-18112515727.
Если хотите узнать больше информации, нажмите ЧМЕДИТЕХ чтобы найти более подробную информацию.
Дистальный голени: прорыв в лечении переломов дистального большеберцовой кости
Производители TOP9 в Америке: тарелки для блокировки дистальной плечевой кости (май 2025 г.)
Производители TOP8 в Океании: тарелки с дистальной плечевой кости (май 2025 г.)
Производители TOP10 в Азии: тарелки для блокировки дистальной плечевой кости (май 2025 г.)
Производители TOP7 в Африке: тарелки для блокировки дистальной плечевой кости (май 2025 г.)
Производители TOP6 в Европе: тарелки для блокировки дистальной плечевой кости (май 2025 г.)
Фиксирующая пластина локтевого отростка: восстановление стабильности и функции локтя
Фиксирующая пластина ключицы: повышение стабильности и заживления
Ортопедическая пластина из нержавеющей стали: улучшение заживления и стабильности костей