Просмотры:9 Автор:Pедактор сайта Время публикации: 2022-12-22 Происхождение:Работает
Пателлофеморальная нестабильность (PFI) включает в себя ряд заболеваний, начиная от легкого недомогания и заканчивая явным вывихом надколенника (LPD).LPD является относительно распространенным явлением, с 50 случаями на каждые 100 000 детей.Первый вывих обычно происходит в возрасте от 15 до 19 лет.LPD является изнурительным заболеванием, и частота вывихов после консервативного лечения или физиотерапии достигает 70%.Реконструкция медиальной пателлофеморальной связки является наиболее широко используемым хирургическим лечением.Однако у 16% больных возникают осложнения, в том числе повторный вывих.Кроме того, четверть пациентов нуждаются в последующем хирургическом вмешательстве на другом коленном суставе, который хирургически не лечится.Долгосрочный риск прогрессирующего повреждения хряща и ОА после LPD в 6 раз выше, чем после исходного вывиха, поэтому многие молодые пациенты сталкиваются с риском ОА в возрасте от 30 до 40 лет.Отсутствие всестороннего понимания PFI является одним из основных препятствий для восстановления нормальной консистенции пателлофеморального сустава.
Факторы риска ПФИ можно разделить на две категории: анатомические аномалии и аномалии выравнивания.Бедренно-блоковая дисплазия является наиболее важной анатомической аномалией, а аномалии выравнивания включают возвышение надколенника, перекат надколенника и подвывих.Пателлофеморальная деформация обусловлена биомеханическими изменениями, вызванными повреждением медиального стабилизатора, увеличением угла Q, антеверсией бедренной кости и латерализацией места прикрепления сухожилия надколенника.Факторы риска ПФИ представлены на рисунке 1.

дисплазия бедренного блока
угол наклона поперечного шкива
фасеточная асимметрия шкива
глубина шкива
ненормальное выравнивание
высокая коленная чашечка
расстояние от большеберцовой кости до блоковой борозды (tt-tg) увеличилось
увеличить угол q
бедренная антеверсия
Данные МРТ при ПФИ варьируют в зависимости от тяжести и хронического характера заболевания.Легкие случаи PFI могут характеризоваться дискинезией надколенника, которая характеризуется отеком верхней и латеральной сторон жирового тела Гоффа (также известным как воздействие пателлофеморального жира).Воздействие пателлофеморального жира тесно связано с другими факторами риска ПФИ, включая дисплазию мыщелка бедренной кости, высоту надколенника, увеличение расстояния TT-TG, латеральный наклон надколенника и подвывих.Длительно существующая дискинезия надколенника приводит к повреждению хряща и ранней дегенерации латерального пателлофеморального сустава.
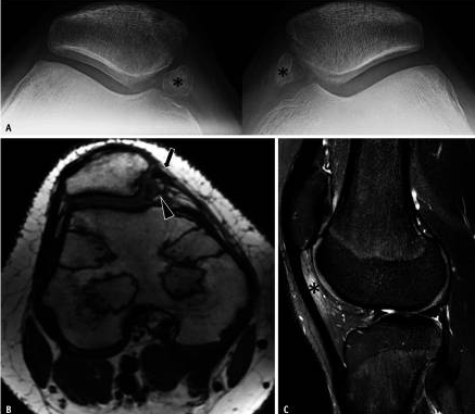
Острый вывих надколенника (ОПД надколенника) является наиболее серьезной формой ПФИ.Рентгенограмма показывает обнаружение острых повреждений, которые могут включать выпот в суставах, случайный уровень липидов жировой артропатии, перелом медиальной костно-хрящевой надколенника, латеральный наклон/подвывих надколенника (рис. 8А) и признак глубокой латеральной борозды, вызванный Импедансное повреждение хряща латерального мыщелка бедра.Специфические МРТ-проявления острой БЛД включают повреждение медиального стабилизатора (наблюдается у 96%), латеральный наклон или подвывих надколенника, повреждение костно-хрящевой ткани и суставной выпот (рис. 2В, С).В большинстве случаев надколенник самопроизвольно вправляется после первого вывиха.

До 70% пациентов будут испытывать рецидивирующий вывих, и может возникнуть хронический рецидивирующий вывих.В этом случае МРТ может показать хронический разрыв медиального стабилизатора, деформацию медиального надколенника, окостенение медиального надколенника, столкновение жира с надколенником и бедренной костью, повреждение хряща и дегенерацию латерального надколенниково-бедренного сустава (рис. 3).

Большинство острых вывихов надколенника носят преходящий характер и вправляются спонтанно.Иногда пациенты, члены семьи, друзья, тренеры или инструкторы вручную вставляют коленную чашечку в исходное положение.Если пациент обращается в отделение неотложной помощи из-за вывиха надколенника, ему будет дана седация в сознании.Закрытое вправление надколенника достигается постепенным вытягиванием ног.После сброса клинически проверьте коленный сустав на наличие других повреждений.
Стандартным лечением первого вывиха надколенника является нехирургическое лечение, а кратковременная (2-4 недели) фиксация в шине или фиксаторе коленного сустава может контролировать боль и начальное заживление тканей после острого приступа.В этот период разрешается использовать костыли.После этого для занятий используются скобы, стабилизирующие надколенник, и проводится физиотерапия для восстановления движений, силы и контроля над конечностями.
Пациенты обычно возобновляют физические упражнения примерно через 3 месяца после первого приступа.Кроме того, ношение стента не является обязательным.
Более чем у 30% пациентов первый вывих надколенника связан с большим объемом выпота в коленном суставе.В этом случае необходимо выполнить МРТ, чтобы выявить, есть ли костно-хрящевые переломы.Наиболее частая локализация таких переломов — медиальная часть надколенника или латеральный мыщелок бедренной кости, при наличии внутрисуставных переломов обычно рекомендуется хирургическое лечение.
Во время операции костно-хрящевые отломки удаляются или фиксируются в зависимости от размера отломков и качества хряща.При размере костно-хрящевого перелома ≥ 15 мм рассматривается фиксация перелома вместо иссечения.Эта фиксация осуществляется открытым методом с использованием металлических винтов, биорассасывающихся штифтов или нитей.
При лечении переломов тенденция одномоментной хирургической стабилизации надколенника достигается путем медиальной пластики или реконструкции MPFL.Если для фиксации перелома используются металлические винты, в будущем их, возможно, придется удалить с помощью других хирургических процедур.
Есть две точки зрения на лучший метод стабилизации надколенника.Первый метод заключается в выполнении изолированной реконструкции MPFL.МПФЛ является основным сдерживающим фактором латерального подвывиха надколенника, поэтому его реконструкция обеспечит необходимую стабильность надколенника.Реконструкция MPFL обычно выполняется аутотрансплантатом сухожилия четырехглавой мышцы бедра, аутотрансплантатом сухожилия подколенного сухожилия или аллотрансплантатом.Успех изолированной реконструкции MPFL для восстановления стабильности надколенника составляет более 95%, что не имеет никакого отношения к выбору трансплантата.Наиболее частыми осложнениями реконструкции MPFL являются тугоподвижность коленного сустава, перелом надколенника и рецидивирующая нестабильность надколенника.
Второй метод устраняет факторы риска нестабильности надколенника и реконструкцию MPFL.В этом методе анатомические факторы риска нестабильности надколенника определяются на рентгеновском снимке и КТ/МРТ, включая блоковую дисплазию, увеличенную высоту надколенника и расстояние TT-TG.После определения некоторые или все факторы риска будут исправлены хирургическим путем.
Блоковая дисплазия решается с помощью трохлеопластики, при которой углубляется блоковая борозда (рис. 12А).Трохлеарная пластика не очень популярна в Соединенных Штатах, потому что она предполагает инвазию суставного хряща, и теоретически существует риск ишемического некроза или артрита в будущем.
Высота надколенника или увеличение высоты надколенника решается дистальным бугорком большеберцовой кости.Для увеличения расстояния ТТ-ТГ выполняют медиальный или переднемедиальный бугорок большеберцовой кости (рис. 12В).Осложнения остеотомии бугристости большеберцовой кости включают несращение, аппаратную боль, потерю редукции бугристости и перелом.
Для натяжения латеральной сетчатки выполняют латеральный релиз сетчатки, который показывает увеличение наклона надколенника.К осложнениям бокового релиза относятся стойкий отек и ятрогенная медиальная нестабильность надколенника.


У пациентов с несформированными костями некоторые операции противопоказаны или модифицированы из-за поражения эпифиза.
Бедренная точка крепления MFPL расположена чуть ниже эпифиза дистального отдела бедренной кости.Поэтому реконструкция MPFL у пациентов с несформированными костями должна проводиться под строгим контролем рентгеноскопии, чтобы обеспечить безопасное сверление бедренного туннеля.
Повреждение дистального отдела бедренной кости может привести к деформации, которая может потребовать или не потребовать хирургической коррекции.Точно так же травма протрузии проксимального отдела большеберцовой кости может привести к деформации, особенно медиальной части колена.Поэтому остеотомия бугристости большеберцовой кости запрещена у пациентов с открытой протрузией проксимального отдела большеберцовой кости.
Напротив, сухожилие надколенника может быть полностью или частично смещено медиально.Когда наружная половина сухожилия надколенника переносится на медиальную сторону, эта операция называется операцией Ру-Голдтуэйта (рис. 12С).
Все пациенты, подвергающиеся хирургическому вмешательству, должны быть обследованы на наличие нестабильности надколенника в расположении коронарных конечностей и вращающихся конечностей.Увеличенная вальгусная деформация коленного сустава, чрезмерная антеверсия бедренной кости и повышенная наружная торсия большеберцовой кости являются факторами риска нестабильности надколенника.
Для пациентов с незрелыми костями при вальгусной деформации коленей следует учитывать направление роста.Эпифизарные винты или пластины с натяжной лентой могут охватывать медиальную сторону дистального конца эпифиза бедренной кости для постепенной коррекции.Остеотомия необходима для коррекции коронарной или ротационной деформации у пациентов со зрелыми костями.Показание для коррекции вальгусной деформации коленного сустава > 10 градусов, а показание для коррекции ротационного вывиха превышает 20 градусов.
Дети (< 10 лет) сталкиваются со сложными моделями нестабильности надколенника, которые включают фиксированный или привычный вывих надколенника.Некоторые синдромы, такие как синдром Дауна, синдром ногтя-надколенника, синдром Кабуки и синдром Рубинштейна-Тейби, состоят из нестабильности надколенника.
Важно понимать, что изолированной реконструкции МПФЛ недостаточно для решения этих сложных паттернов, так как первичная патология располагается латерально, а иногда укорачивается механизм четырехглавой мышцы бедра, что требует широкого латерального релиза и пластики четырехглавой мышцы бедра для решения этих проблем. проблемы.
При пластике четырехглавой мышцы бедра механизм четырехглавой мышцы переориентируется и/или удлиняется.В случае пренебрежения или позднего лечения эти сложные нестабильные паттерны могут проявиться в более позднем возрасте.
Для ЧМЕДИТЕХ, у нас есть очень полная линейка имплантатов для ортопедической хирургии и соответствующих инструментов, включая продукты имплантаты позвоночника, интрамедуллярные гвозди, травматическая пластина, Стопорная шайба, черепно-челюстно-лицевой, протез, электроинструменты, внешние фиксаторы, артроскопия, ветеринарная помощь и сопутствующие им наборы инструментов.
Кроме того, мы стремимся постоянно разрабатывать новые продукты и расширять линейки продуктов, чтобы удовлетворить хирургические потребности большего числа врачей и пациентов, а также сделать нашу компанию более конкурентоспособной на мировом рынке ортопедических имплантатов и инструментов.
Мы экспортируем по всему миру, поэтому вы можете связаться с нами по адресу электронной почты song@orthopedic-china.com, чтобы получить бесплатное предложение, или отправьте сообщение в WhatsApp, чтобы получить быстрый ответ +86-18112515727.
Если хотите узнать больше информации, нажмите ЧМЕДИТЕХ чтобы найти более подробную информацию.
Дистальный голени: прорыв в лечении переломов дистального большеберцовой кости
Производители TOP9 в Америке: тарелки для блокировки дистальной плечевой кости (май 2025 г.)
Производители TOP8 в Океании: тарелки с дистальной плечевой кости (май 2025 г.)
Производители TOP10 в Азии: тарелки для блокировки дистальной плечевой кости (май 2025 г.)
Производители TOP7 в Африке: тарелки для блокировки дистальной плечевой кости (май 2025 г.)
Производители TOP6 в Европе: тарелки для блокировки дистальной плечевой кости (май 2025 г.)
Фиксирующая пластина локтевого отростка: восстановление стабильности и функции локтя
Фиксирующая пластина ключицы: повышение стабильности и заживления
Ортопедическая пластина из нержавеющей стали: улучшение заживления и стабильности костей