T4100-8105
CZMEDITECH
CE/ISO: 9001/ISO13485
FedEx. Dhl.tnt.ems.etc
| штат: | |
|---|---|
| Количество: | |
Описание продукта
Травмаские пластины являются критическими компонентами в ортопедических системах внутренней фиксации, специально предназначенных для лечения различных типов переломов. Их уникальная структура и высокопрочный материал обеспечивают стабильную механическую поддержку, способствуя заживлению перелома. Травмарные пластины подходят для множественных переломов, замайтированных переломов и сложных травм, требующих высокой стабильности.
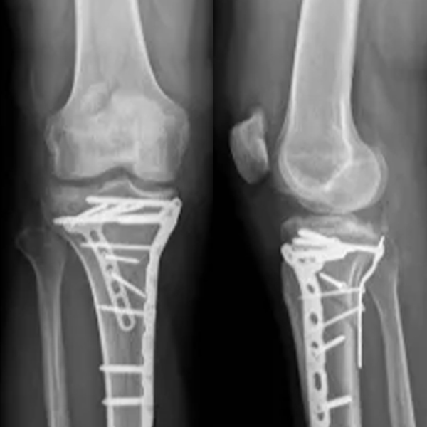
Пластины верхней конечности предназначены для переломов плеча, ключицы, плечевой кости, локтевой кости и радиуса. Они обеспечивают стабильную внутреннюю фиксацию для комплексных, закомментированных или остеопоротических переломов, обеспечивая анатомическое восстановление и раннее функциональное восстановление.
Пластины нижней конечности используются для бедренных, большеберцовых, малоработников и переломов ног, предлагая высокую механическую стабильность. Они идеально подходят для высокоэнергетических травм, периартикулярных переломов и случаев, не связанных с ними, способствуя раннему несущению и реабилитации.
Тазовые и вертлужные пластины предназначены для сложных переломов таза и вертлужной впадины, обеспечивая 3D -стабильность. Они подходят для высокоэнергетической травмы, переломов таза и переломов тазовых тазовых плиток и переднего/заднего столбца.
Мини и микрорежины используются для точной фиксации в переломах рук, ног и челюстно -лицевой. Их низкопрофильный дизайн сводит к минимуму раздражение мягких тканей, что делает их идеальными для педиатрических переломов и небольших фрагментов кости.
Канюлированные винты представляют собой специализированные винты с центральным полым каналом. Во время операции тонкий направляющий проволоки сначала вставляется в идеальное положение, а затем винт точно заряжен на проволоке, значительно повышая точность внутренней фиксации. Они в основном используются для переломов, которые требуют точной фиксации, таких как переломы скафоида в переломах запястья или бедренной шейки.


Предлагая полный диапазон размеров от 1,5 мм до 7,3 мм с различными конфигурациями (прямые, L-образные, Т-образные и т. Д.), Для решения переломов во всех анатомических областях.
С анатомическими схемами травматологические пластины точно соответствуют структурам костей разных областей, минимизируя интраоперационную формирование и повышение хирургической точности.
Построенный из высокопрочной медицинской нержавеющей стали или титанового сплава для обеспечения стабильности фиксации при сохранении соответствующего упругого модуля для заживления костей.
Стандартизированные конструкции упрощают хирургические процедуры с выделенными наборами приборов (4200 серий), позволяющих быстро установить и сократить время работы.



Серия продуктов