Просмотры:1 Автор:Pедактор сайта Время публикации: 2023-07-15 Происхождение:Работает
Переломы могут варьироваться от простых до сложных, и соответствующий подход к лечению зависит от различных факторов. Стопорная шайба Хирургия — это хирургический метод, используемый для стабилизации переломов, которые не могут быть эффективно вылечены нехирургическими методами, такими как гипсование или шинирование.Обеспечивая жесткую фиксацию, операция с запирающими пластинами позволяет лучше выровнять кость и способствует успешному заживлению.
Стопорная шайба хирургия включает использование металлических пластин со специальными отверстиями для винтов, которые фиксируют винты на месте.Эти пластины предназначены для обеспечения стабильной фиксации и равномерного распределения нагрузки по сломанной кости.Винты, используемые в хирургии блокирующей пластины, ввинчиваются в пластину, создавая конструкцию с фиксированным углом, способную выдерживать значительные нагрузки.

Операция с блокирующей пластиной часто рекомендуется при сложных переломах, которые представляют собой переломы, включающие множественные костные фрагменты или связанные с повреждением мягких тканей.Эти переломы сложнее лечить консервативными методами и требуют стабильности, обеспечиваемой блокирующими пластинами.
Переломы несущих костей, таких как бедренная или большеберцовая кость, могут потребовать хирургического вмешательства с блокирующей пластиной.Эти кости подвергаются значительной нагрузке во время повседневной деятельности, а хирургическое вмешательство при стопорные пластины может помочь восстановить прочность и стабильность кости, что позволяет проводить раннюю мобилизацию.
Пациентам с остеопорозом или нарушением качества костей может быть полезен Стопорная шайба операция.Специальная конструкция фиксирующих пластин обеспечивает усиленную фиксацию в костях с пониженной плотностью или прочностью, что позволяет улучшить результаты заживления.
Когда перелом не заживает в течение ожидаемого периода времени, это называется несращением или отсроченным сращением. Стопорная шайба В таких случаях можно рассмотреть хирургическое вмешательство для ускорения заживления костей за счет обеспечения стабильности, увеличения кровоснабжения места перелома и стимуляции образования костеобразующих клеток.
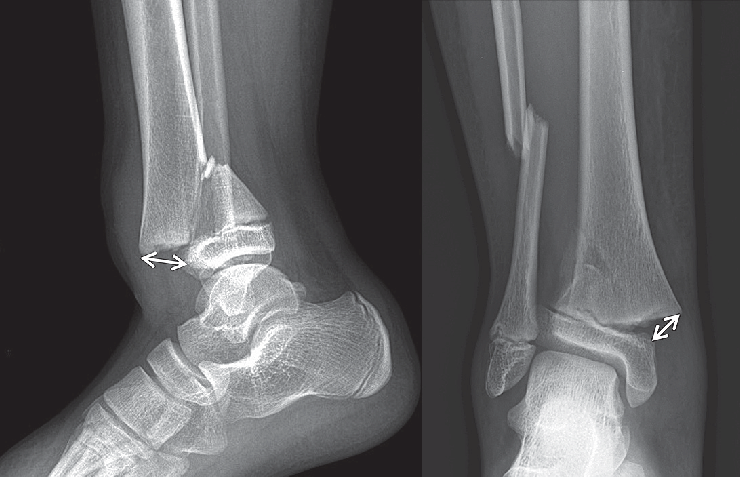
Прежде чем принять решение о Стопорная шайба хирургии, обычно проводится несколько диагностических процедур для оценки перелома и определения наиболее подходящего подхода к лечению.
Рентген обычно используется для оценки переломов и оценки степени смещения и нестабильности.Дополнительные визуализирующие исследования, такие как КТ или МРТ, могут быть рекомендованы для получения более подробной информации о характере перелома, поражении мягких тканей и качестве кости.

Проводится тщательное физикальное обследование для оценки объема движений, стабильности и сосудисто-нервного статуса пораженной конечности.Эта оценка помогает определить степень травмы и Стопорная шайба операция необходима.
Во время оценки учитывается история болезни пациента, включая любые предыдущие переломы, основные заболевания и лекарства.Некоторые факторы, такие как курение, диабет или плохое питание, могут повлиять на процесс заживления и повлиять на решение о проведении операции.
Хирургия запирающей пластины предлагает несколько преимуществ при лечении сложных переломов.К ним относятся стабильная фиксация, ранняя мобилизация, улучшенное выравнивание, снижение риска неправильного сращения и улучшение результатов заживления.Жесткая конструкция, обеспечиваемая стопорные пластины обеспечивает немедленную нагрузку и лучшее функциональное восстановление.
Как и при любой хирургической процедуре, существуют риски, связанные с Стопорная шайба операция.Они могут включать инфекцию, кровопотерю, повреждение нерва или кровеносного сосуда, отторжение имплантата, несращение и необходимость дополнительных операций.Важно обсудить эти риски с вашим поставщиком медицинских услуг, чтобы принять обоснованное решение.
Перед операцией проводится всестороннее предоперационное обследование, которое может включать анализы крови, визуализирующие исследования и физикальное обследование.Эта оценка помогает определить пригодность пациента для операции и позволяет хирургу соответствующим образом спланировать процедуру.
Во время операции перелом обнажается, и костные фрагменты возвращаются в правильное положение. Стопорная шайба затем располагают над местом перелома, и через пластину в кость вводят винты для стабилизации перелома.После надежной фиксации перелома разрез закрывается, и начинается процесс восстановления.
Следующий Стопорная шайба операции, пациент находится под пристальным наблюдением в течение начального восстановительного периода.Физиотерапия и реабилитационные упражнения начинаются для восстановления силы, подвижности и функции.Время восстановления может варьироваться в зависимости от степени перелома и индивидуальных способностей к заживлению.
Пока Стопорная шайба Хирургическое вмешательство является высокоэффективным методом лечения некоторых переломов, в некоторых случаях могут быть рассмотрены альтернативные методы лечения.Эти альтернативы могут включать гипсование, внешнюю фиксацию, интрамедуллярное крепление гвоздями или операцию по замене сустава.Выбор лечения зависит от таких факторов, как тип и расположение перелома, возраст пациента и общее состояние здоровья, а также опыт хирурга.
Хирургия стопорных пластин является ценным методом, используемым в ортопедической хирургии для лечения сложных переломов и способствующего успешному заживлению костей.Обеспечивая стабильную фиксацию и позволяя раннюю мобилизацию, эта процедура может значительно улучшить результаты лечения пациентов.Если у вас тяжелый перелом или вам посоветовали рассмотреть Стопорная шайба хирургии, проконсультируйтесь со специалистом-ортопедом, чтобы обсудить возможные варианты и определить наилучший курс лечения.
Время восстановления после операции с блокирующей пластиной варьируется в зависимости от человека и конкретного перелома.Как правило, для полного заживления кости и восстановления полной функции пациента может потребоваться от нескольких недель до нескольких месяцев.Ваш хирург-ортопед предоставит вам более точную оценку, основанную на вашем конкретном случае.
Да, Стопорная шайба Операция может быть выполнена у пожилых пациентов при условии, что они в целом находятся в хорошем состоянии и качество их кости достаточно для проведения процедуры.Решение о проведении операции будет основываться на всесторонней оценке состояния здоровья пациента и индивидуальных обстоятельств.
Вероятность успеха операции с блокирующей пластиной, как правило, высока, и у большинства пациентов наблюдается значительное улучшение заживления переломов и функциональных результатов.Однако вероятность успеха может варьироваться в зависимости от таких факторов, как тип и расположение перелома, общее состояние здоровья пациента и соблюдение протоколов послеоперационного ухода и реабилитации.
Да, для некоторых переломов доступны альтернативные варианты лечения.Эти альтернативы включают гипсование, внешнюю фиксацию, интрамедуллярное крепление гвоздями или операцию по замене сустава.Выбор лечения зависит от различных факторов и должен быть обсужден со специалистом-ортопедом, который может оценить ваш конкретный случай.
Операция с запирательной пластиной проводится под анестезией, чтобы пациент не испытывал боли во время процедуры.После операции может быть некоторый дискомфорт или болезненность в месте операции, которые можно снять с помощью обезболивающих, назначенных вашим лечащим врачом.Крайне важно следовать инструкциям хирурга по послеоперационному обезболиванию.
Для ЧМЕДИТЕХ, у нас есть очень полная линейка имплантатов для ортопедической хирургии и соответствующих инструментов, включая продукты имплантаты позвоночника, интрамедуллярные гвозди, травматическая пластина, Стопорная шайба, черепно-челюстно-лицевой, протез, электроинструменты, внешние фиксаторы, артроскопия, ветеринарная помощь и сопутствующие им наборы инструментов.
Кроме того, мы стремимся постоянно разрабатывать новые продукты и расширять линейки продуктов, чтобы удовлетворить хирургические потребности большего числа врачей и пациентов, а также сделать нашу компанию более конкурентоспособной на мировом рынке ортопедических имплантатов и инструментов.
Мы экспортируем по всему миру, поэтому вы можете связаться с нами по адресу электронной почты song@orthopedic-china.com, чтобы получить бесплатное предложение, или отправьте сообщение в WhatsApp, чтобы получить быстрый ответ +86-18112515727.
Если хотите узнать больше информации, нажмите ЧМЕДИТЕХ чтобы найти более подробную информацию.
Понимание системы шейки бедренной кости: подробное руководство
Полное руководство по блокирующей пластине дистального отдела бедренной кости
Что такое дистально-медиальная фиксирующая пластина большеберцовой кости?
Проксимальная фиксирующая пластина плечевой кости: подробное руководство
Дистальная ладонной радиальной фиксирующей пластины: Продвижение лечения перелома запястья
Фиксирующая пластина VA дистального отдела лучевой кости: передовое решение при переломах запястья
Фиксирующая пластина локтевого отростка: революционное решение при переломах локтевого сустава
Фиксирующая пластина ключицы: улучшение заживления и стабильности
1/3 трубчатая стопорная пластина: достижения в лечении переломов
Пястные стопорные пластины: достижения в лечении переломов рук