1000-0121
CZMEDITECH
| штат: | |
|---|---|
| Количество: | |
Описание продукта
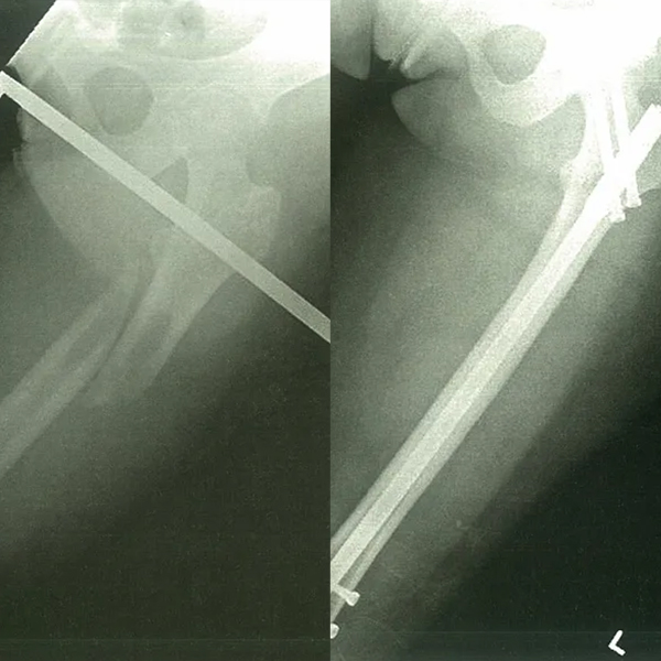
Интрамедуллярная система ногтей - это внутреннее фиксационное устройство, используемое для лечения переломов длинных костей (например, бедренная кость, большеберцовая кость, плечевая кость). Его конструкция включает в себя вставку главного гвоздя в медуллярный канал и закрепление его фиксирующими винтами для стабилизации перелома. Благодаря своему минимально инвазивной природе, высокой стабильности и превосходной биомеханической производительности, он стал ключевым вариантом в современной ортопедической хирургии.
Основной корпус интрамедуллярного гвоздь, обычно изготовленного из титана или нержавеющей стали, вставленного в медуллярный канал, чтобы обеспечить осевую стабильность.
Используется для обеспечения главного ногтя к кости, предотвращая вращение и укорочение. Включает в себя статические фиксирующие винты (жесткая фиксация) и динамические фиксирующие винты (позволяя сжать осевое сжатие).
Окрашивает проксимальный конец гвоздь, чтобы уменьшить раздражение мягких тканей и повысить стабильность.

Система вставляется с помощью небольших разрезов, сводя к минимуму повреждение мягких тканей и риски инфекции, одновременно способствуя более быстрому восстановлению.
Центральное размещение гвоздя обеспечивает даже распределение нагрузки, предлагая превосходную стабильность по сравнению с пластинами и снижая частоту сбоев фиксации.
Высокая стабильность обеспечивает раннее частичное несущее вес, минимизируя осложнения от длительной неподвижности.
Подходит для различных типов переломов (например, поперечных, наклонных, заправленных) и разнообразных возрастных групп пациента.




Case1
Case2
